Mohammad Mordi๐Ÿฅ‡๐Ÿ†๐Ÿ‡ธ๐Ÿ‡ฆ
Mohammad Mordi๐Ÿฅ‡๐Ÿ†๐Ÿ‡ธ๐Ÿ‡ฆ

@NAJM

9 ุชุบุฑูŠุฏุฉ 44 ู‚ุฑุงุกุฉ May 27, 2020
Twitter
๐Ÿ‘ˆุชุญุจ ุชุนุฑู ุฃู†ูˆุงุน ุงู„ู€ WBCs ู…ุญุจุจู‡ ูˆ ุบูŠุฑ ู…ุญุจุจู‡ุŒ ูˆุตู ู„ูƒู„ ู†ูˆุน ุฒูŠุงุฏุชู‡ ู†ู‚ุตุงู†ู‡ ุงูŠุด ูŠุนู†ูŠุŸ
๐Ÿ‘ˆุนู…ู„ ูƒู„ ู†ูˆุน ูˆุดูƒู„ ูƒู„ ู†ูˆุนุŸ
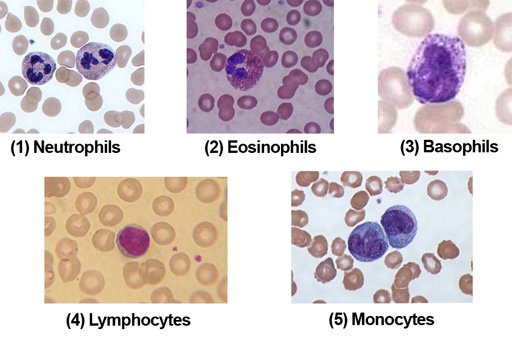
ุดูˆู ุงู„ุตูˆุฑู‡ ๐Ÿ‘‡
โญ• (ุงูŠ ุฅุฎุชุจุงุฑ ููŠ ุงู„ู‡ูŠู…ุงุชูˆู„ูˆุฌูŠ ูˆุงู„ุจุงูŠู„ูˆุฌูŠ ู„ุงุฒู… ูŠุชุทุฑู‚ ู„ู‡ุฐุง ุงู„ุฌุฏูˆู„ุŒ ูŠุณุฃู„ูƒ ุนู† ูˆุธูŠูุฉ ู†ูˆุน ู…ุนูŠู†ุŒ ุนู† ุงู„ู…ุนุฏู„ ุงู„ุทุจูŠุนูŠ ู„ูƒู„ ู†ูˆุนุŒ ุตูˆุฑู‡ ูˆูŠู‚ูˆู„ูƒ ุญุฏุฏ ู†ูˆุนู‡ุง)
ู‡ู†ุง ุดูˆู ุงู„ู…ุนุฏู„ ุงู„ุทุจูŠุนูŠ... ๐Ÿ‘‡
๐Ÿ”ดุฎุฐ ู†ุธุฑู‡ ุนุงู…ู‡ ุนู† ุงู„ู€ ุจุงุฒูˆููŠู„ ๐Ÿ‘‡
๐Ÿ”ดุฎุฐ ู†ุธุฑู‡ ุนุงู…ู‡ ุนู† ุงู„ู€ ุฅุฒู†ูˆููŠู„ ๐Ÿ‘‡
๐Ÿ”ดุฎุฐ ู†ุธุฑู‡ ุนุงู…ู‡ ุนู† ุงู„ู€ ู†ูŠุชุฑูˆููŠู„ ๐Ÿ‘‡
๐Ÿ”ดุฎุฐ ู†ุธุฑู‡ ุนู† ุงู„ู…ุงูƒุฑูˆูุงุฌ ๐Ÿ‘‡
โญ•ุงู„ูˆุธูŠูู‡ ู…ู‡ู…ู‡ (ู…ูˆุทู† ุงุณุฆู„ู‡)..
๐Ÿ”ดุฎุฐ ู†ุธุฑู‡ ุนุงู…ู‡ ุนู† ุงู„ู€ ู„ูŠู…ููˆุณุงูŠุชุณ ๐Ÿ‘‡
๐Ÿ”ดุฎุฐ ุจุงู„ู„ู‡ ู†ุธุฑู‡ ุนู„ู‰ ุงุดูƒุงู„ู‡ู… ุชุญุช ุงู„ู…ูŠูƒุฑูˆุณูƒูˆุจุŒ (ู„ูˆ ุฃุญุฏ ุณุฃู„ูƒ ุชุนุฑู ุชุญุฏุฏ ุงู„ู†ูˆุน).. ๐Ÿ‘‡
๐Ÿ”ดู…ุนู„ูˆู…ู‡ ุจุงู„ุจู„ุฏูŠ :ุงู„ุจุงู†ุฏ ุณู„ ุชุฌูŠ ุนู„ู‰ ุดูƒู„ ุญุฐุงุก ุงู„ุญุตุงู†ุŒ ูˆุฌูˆุฏู‡ุง ูŠุนู†ูŠ ุฃู† ููŠู‡ ู†ูŠุชุฑูˆููŠู„ ุบูŠุฑ ู†ุงุถุฌู‡ุŒ
ุงุฐุง ููŠู‡ ุฅู„ุชู‡ุงุจ ุงูˆ ุนุฏูˆู‰ ุชุฌูŠ ุฑุณุงุฆู„ ู„ู„ู€ Bone Marrow ู†ุญุชุงุฌ ู†ูŠุชุฑูˆููŠู„ ู†ุญุชุงุฌ ู†ูŠุชุฑูˆููŠู„ ุนุดุงู† ู†ู‚ุงูˆู… ูู€ ูŠู‚ูˆู… ูŠุฏู (ูŠุทู„ู‚) ู†ูŠุชุฑูˆููŠู„ ุบูŠุฑ ู…ูƒุชู…ู„ู‡.. ูŠุฌูŠ ุดูƒู„ู‡ุง ุฒูŠ ุญุฐุงุก ุงู„ุญุตุงู† ุงูˆ ุดูƒู„ ุญุฑู J ุงูˆ ุญุชู‰ ุชุฌูŠูƒ ู…ุฌุฒุฃู‡.

ุฌุงุฑูŠ ุชุญู…ูŠู„ ุงู„ุงู‚ุชุฑุงุญุงุช...