OMAR N. ALESSA عمر العيسى
OMAR N. ALESSA عمر العيسى

@DrOmarNaje

15 تغريدة 99 قراءة May 26, 2020
عيديتي لكم غير🌹2020
عيدكم مبارك🌹
يراجع كثير من مرضى العظام وخصوصًا النساء العيادة يشكون انحرافًا واعوجاجًا في إبهام القدم الذي يسبب لهم ألمًا واحتكاكًا بالحذاء أثناء المشي تارةً، وتارةً يؤرقهم بسبب شكله، أولصعوبة لبس الحذاء.
سأتناول هنا انحراف إبهام القدم بتفاصيله...
يتبع
ملامح عامة:
-تصيب هذه الشكوى النساء بنسبة أعلى.
-٧٠٪ ممن يعانون منها لديهم تاريخ عائلي، أو قابلية وراثية لهذا الانحراف.
عوامل تزيد احتمالية حدوثه:
أولًا-داخلية تتمثل في:
١-الاستعداد الوراثي٢-مرونة المفاصل وخاصةً إبهام القدم والعظام المتصلة به
٣-تشوه أو بتر الإصبع بجانب
إبهام القدم
٤-القدم المسطحة
٥-الروماتيزم
٦-الشلل الدماغيcp
ثانيًا-خارجية:
-لبس الحذاء ذوالكعب العالي والضيق عند مقدمة الأصابع
يتبع
قد يرافق انحراف إبهام القدم حالات أخرى منها:
١- إصبع القدم المطرقية.
٢-مسمار اللحم.
الأعراض:
١-صعوبة ارتداء الأحذية؛ بسبب البروز العظمي في إبهام القدم.
٢-ألم عند البروز العظمي وماحوله.
٣-الضغط على الأعصاب المحيطة الذي قد يسبب ألمًا وأعراضًا أخرى.
يتم الفحص السريري بملاحظة ما يأتي:
١-اتجاه إبهام القدم للداخل نحو الأصبع الثاني،وحدوث بروز عظمي من الجهة الأخرى(السلامية العظمية)
٢-نطاق الحركة في مفاصل إبهام القدم،والمفاصل المحيطة من ناحية القدم الوسطى
٣- وجود مسمار اللحم.
٤- ألم في المفصل،أو في العظيمات السمسمية(sesamoid)
يتبع
تابع الفحص:
سيقوم الجراح بفحص القدم عمومًا في حال وجود القدم المسطحة، وفحص أصابع القدم الأخرى بالإضافة إلى فحص القدم الوسطى، ومؤخرة القدم.
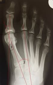
الأشعة:
-سيطلب منك جراح العظام إجراء سلسلة من الأشعة للقدم، ويجب أن تؤخذ والمريض واقف ثلاثة صور أمامية وجانبية ومائلة.
-يمكن طلب صورة للعظمتين السمسميتين حول إبهام القدم كذلك.
-سيقوم جراح العظام بحساب بعض الزوايا المهمة؛ لتحديد نوع العلاج اللازم.
الوقاية تكون بتغير نمط الحياة الخاطىء عن طريق:
-تخفيف الوزن الزائد.
-تجنب مسببات الألم(لبس حذاء غير مريح،رياضة معينة،المجهود الشاق)
-عدم ارتداء الحذاء الضيق،واستبداله بالواسع،وتجنب لبس الكعب العالي،والحذاء مدبب الوجه
-المشي الحافي بلا حذاء أحيانًا؛لتقوية عضلات القدم
يتبع
العلاج:
سيحدد الجراح العلاج،وسيكون إما تحفظيًا(غير جراحي)أو العلاج الجراحي كما يلي:
أولًا-علاج غير جراحي:
١-استخدام الدعامات التي بدورها تجعل إبهام القدم بوضعه الطبيعي،وكذلك قد ينصحك الجراح باستخدام مادة جلاتينية كوسادة في مكان الألم حول إبهام القدم،أو حول القدم الوسطى حسب الفحص.
العلاج:
سيحدد الجراح اما تحفظيًا(غير جراحي) أو العلاج الجراحي:
أولاً:غير جراحي:
٢-لبس الحذاء المسطح المريح بمقاس مناسب والذي يتيح للأصابع الحركة بشكل طبيعي.
٣-العلاج الطبيعي:تمارين معينة لتقوية عضلات القدم.
٤-استخدام المسكنات وخاصة الغير ستيرويدية في حال وجود الألم.
٥-كمادات.
العلاج:
ثانيًا- العلاج الجراحي:
في حال عدم نجاح العلاج غير الجراحي، أو عند وجود تشوهات شديدة جدًا،أو ألم يعيق الحياة اليومية قد يعمد الطبيب إلى الجراحة؛ لتقويم المشكلة.
-توجد عدة خيارات التي تعتمد على عدة عوامل،مثل:درجة التشوه والألم،وعمر المريض وحالته الصحية،ونشاطه البدني.
يتبع
العلاج: ثانيًا-العلاج الجراحي:
-الجراحة تتضمن إعادة تقويم إبهام القدم، وإزالة زاوية الانحراف بعدة عمليات - مختلفة- لإزالة الألم والتشوه الحاصل، وإزالة الأنسجة المتضخمة، والنتوء العظمي.
-تثبيت المفصل أحيانًا.
-إليك بالصور بعض الأمثلة على تلك العمليات.
-بعد العملية:
-سيقوم الجراح بوضع جبيرة لمدة اسبوعين وفك الغرز بالعيادة ثم تثبيت جبس كامل لمدة قد تصل الى ٤ أسابيع أو أكثر حسب الحاجة مع عمل أشعة للتأكد من حالة العظم والتثبيت.
-سينصحك باستخدام عكاز وعدم وضع وزن خلال الفترة الأولى بعد العملية.
-قد ينصحك بارتداء حذاء طبي خاص.
مضاعفات العملية:
-عودة المشكلة والانحراف العظمي،وخصوصًا إذا لم يتعاون المريض بتعليمات ما بعد العملية،أو عدم تعديل الانحراف بشكل كافٍ.
-حدوث نخر عظمي وألم.
-عدم التئام العظم،والقص العظمي.
-انحراف الإبهام للجهة الأخرى؛بسبب التقويم الزائد وغيره.
-ألم عصبي مكان الجرح؛نتيجة إصابة عصب.

جاري تحميل الاقتراحات...