Samer Zakri-سامر زكري
Samer Zakri-سامر زكري

@SamerZakri

10 تغريدة 27 قراءة May 21, 2020
في #علم_الخلايا #السيتولوجي و الفحص المبدئي ل #سرطان_الرئة
-يسبب #التدخين ٨٠٪ سرطان الرئة حول العالم في الرجال و ٥٠٪ في النساء
-أسباب اخرى لخطر الاصابة به تشمل التعرض لبعض المواد المسرطنة مثل asbestos والزرنيخ و غاز الرادون و مواد اخرى
#سلسلة١٠
@ForensicToxi @captenmd2001
تصنف منضمة الصحة العالمية سرطان الرئة الى هذه التصنيفات
تحت المجهر في مختبر #السيتولوجي و هو احدى الاختبارات الأولية بالإضافة الى اختبارات اخرى من قبل المختصين يقوم الفاحص screener بالبحث عن الخلايا الغير طبيعة و القصد الخلايا السرطانية و هنا جولة سريعة على بعض الأنواع و بإختصار
النوع الأول
Squamous cell cancer
-يسبب ٣٠ الى ٣٥ ٪ من سرطان الرئة
-بسبب التدخين الشديد
-ينمو في سنين في large bronchi من دون ظهور أعراض حتى تنمو الخلايا السرطانية
وتبدا أعراض pneumonia
-قصر التنفس و الكحة المستمرة و زيادة في البلغم مع الدم
-التشخيص يكون عن طريق البلغم
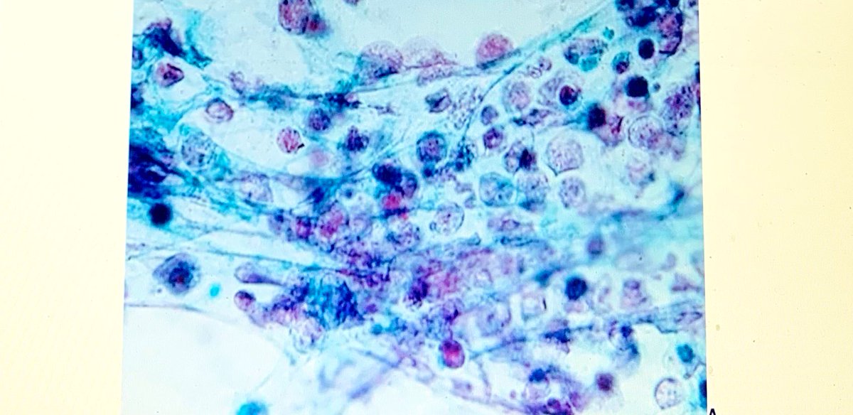
Features under microscope 🔬
📌squamous cell carcinoma
-Enlarged cells with increased n/c ratio
-Hyperchromatic nuclei
-abundant and dense cytoplasm
-degenerated chromatin
-High thick keratinized
-Tadploes
-Stain between orange to pink
-Spindle cells and necrosis seen
النوع الثاني Adenocarcinoma:
-يسبب ٣٠ من أنواع السرطان
-اكثر سرطان رئة يصيب النساء
-يوصف بتكوين papillary structures
-يصاحبه نمو كا papillary pattern
-في الغدد بمحيط الرئة و تحديده يكون في malignant galndular or glands
-له metastasis اكثر من SCC
Features under microscope 🔬
📌Adenocarcinoma:
-Nucleus round to oval
-moderate hyperchromasia
-Prominent nucleoli
-Vacuoles in cytoplasm
-Appear as honeycomb sheets, 3Dclusters, acinar and papillary structures
-Eccentrically irregular nuclei
-Large nucleoli named cherry red
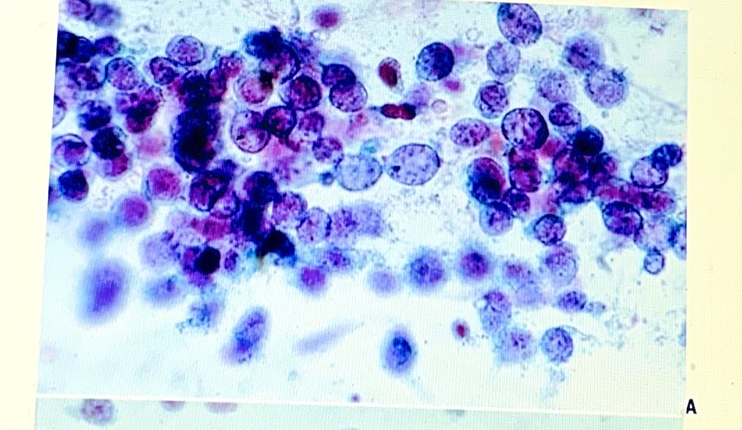
النوع الثالث small cell carcinoma:
-يسبب من ٢٠ الى ٢٥٪ من السرطان
-يسمى با oat cells
-يبدا في majority bronchi
-اكثر أنواع سرطان الرئة خطورة
Features under microscope 🔬
📌Small cell carcinoma
-Small cells
-Scant cytoplasm
-Nuclear molding
-Chromatin is coarsely granular salt and papers
-Inconspicuous nucleoli
ختاما هذا مختصر لأكثر أنواع السرطان الرئة انتشارا من التصنيف والتي تشاهد في #مختبر #السيتولوجي #علم_الخلايا بالإضافة الى طرق اخرى مستخدمة للتشخيص
حفظ الله الجميع من كل شر
@WOOOO0OOOOW @sattam9974 @NAJM @MeshaalAlmalki3 @AbuAlbaraa11

جاري تحميل الاقتراحات...