د. خالد الحصيني
د. خالد الحصيني

@dr_kalhussaini

42 تغريدة 862 قراءة May 20, 2020
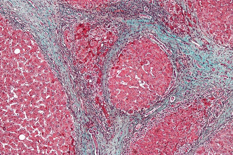
🔆 تليف الكبد
✳️ يمثل تليف الكبد المرحلة الاخيرة من التليف الكبدي التدريجي ونهاية العديد من أمراض الكبد المزمنة بأنواعها المختلفة
✳️ يتميز بتشويه الكبد وتشكيل العديد من العقد في الكبد مثل ما هو موضح بالصورة
✳️ عند حدوث التليف الكبدي في مراحله المتأخرة فلا يمكن ان يعود الكبد لوضعه الطبيعي وعند هذه النقطة قد يكون خيار العلاج الوحيد هو زراعة الكبد
✳️ تم توثيق عكس تليف الكبد في مراحله المبكرة لدى بعض المرضى بعد علاج السبب الأساسي
🔆 أسباب تليف الكبد
📍فيروسات الكبد ب / ج
📍التهاب الكبد المناعي
📍تناول الكحول
📍تجمع الدهون على الكبد او ما يعرف بتشمع الكبد
📍استخدام الادوية او الاعشاب المضرة بالكبد
📍تجلطات أوردة الكبد
📍وراثي كتجمع النحاس او الحديد
📍الامراض المناعية للقنوات الصفراوية
📍فشل عضلة القلب
🔆 أعراض تليف الكبد
📍فقدان الشهية و نقص الوزن
📍ضعف الجسم
📍اصفرار العين والجلد
📍تجمع السوائل وانتفاخ البطن والقدمين
📍تغير الوعي واضطراب النوم
📍الكدمات الدموية على الجلد
📍الحكة
📍البول الداكن
📍قيء مع دم او تغير لون البراز للاسود
📍العقم وفقدان الرغبة الجنسية والضعف الجنسي
🔆 علامات الفحص السريري
✳️ توجد عدة علامات تظهر على مرضى التليف الكبدي ويقوم الطبيب بفحص المريض ويتم الاشتباه بتشخيص التليف عند وجودها
والعلامات موجود بالصور للمختصين 👨🏻‍⚕️🩺
🔆 طرق التشخيص
عند الاشتباه بتليف الكبد يقوم الطبيب بالفحوصات الضرورية للتأكد من التشخيص واكتشاف السبب وتشمل
📍تحاليل الدم للكشف عن السبب
📍الاشعة الصوتية او المقطعية للكبد
📍أشعة القلم للكبد(الفايبروسكان)
📍خزعة الكبد في بعض الحالات
🔆 من الفحوصات المستخدمة للكشف عن دهون وتليف الكبد ⬇️⬇️
جهاز قياس نسبة تليف الكبد او ما يعرف بالموجات فوق الصوتية المرنة او الفايبروسكان
transient elastography
و فيه تستخدم موجات فوق صوتية مرنة ذو تردد منخفض لتشخيص تليف الكبد
🔆 سنتحدث عن اهم مضاعفات تليف الكبد واكثرها انتشارا في الايام القادمة
📍الغيبوبة الكبدية
📍الاستسقاء(تجمع سوائل البطن)
📍نزيف دوالي المريء
📍سرطان الكبد
🔆الغيبوبة الكبدية
او ما تعرف باعتلال الدماغ الكبدي
✳️ حالة تسبب تغير في وعي مريض تليف الكبد وتشمل
📍تغيرات في المزاج
📍تغير في أنماط النوم وحركة الجسم
📍عدم الوعي بالاشخاص والاماكن والاوقات
📍في الحالات المتقدمة فقدان الوعي بالكامل
✳️ يعود الشخص لوضعه السابق بعد علاج السبب
✳️ يتم امتصاص مادة الامونيا NH3 من الامعاء وتنتقل الى الكبد ولا يتم التخلص منها بالشكل الصحيح بسبب قصور الكبد وثم تنتقل عن طريق الدم لتصل الى الدماغ وتسبب اعتلاله
🔆أسباب غيبوبة الكبد
📍الامساك
📍نزيف الجهاز الهضمي
📍التهابات الجسم المختلفة
📍استخدام الادوية المنومة
📍اعتلال املاح الجسم ونزول السكر
📍الاستفراغ والاسهال اذا أدى لجفاف الجسم
📍الفشل الكلوي
📍استخدام مدرات البول بجرعة عالية
📍تتدهور حالة الكبد
📍تجلط اوردة الكبد
📍سرطان الكبد
🔆 تشخيص الغيبوبة الكبدية
عند الاشتباه بالتشخيص بناء على الاعراض والتاريخ المرضي والفحص السريري يقوم الطبيب بعدد من الفحوصات تهدف الى
✅ التأكد من التشخيص واستبعاد الامراض العصبية الاخرى مثل جلطة الدماغ وخاصة عند حدوث الغيبوبة للمرة الاولى
✅ بعد التأكد من تشخيص الغيبوبة الكبدية يتم عمل فحوصات شاملة لمعرفة سبب حدوث الغيبوبة والتي من أشهرها الامساك بالاضافة للأسباب الاخرى التي سبق ذكرها
🔆 علاج الغيبوبة الكبدية
يعتمد على محورين أساسيين
1️⃣ علاج الغيبوبة عند حدوثها
2️⃣ اجراءات وقائية لتجنب حدوث الغيبوبة مجددا
1️⃣ علاج الغيبوبة عند حدوثها
وهذا يشتمل على علاج السبب
📍الامساك ⬅️ إعطاء الملين
📍النزيف ⬅️ الادوية والمنظار
📍الالتهابات ⬅️ المضادات الحيوية
📍الادوية المنومة ⬅️ ايقافها
📍اعتلال الأملاح ونزول السكر ⬅️ تعويضها
📍مدرات البول ⬅️ تعديل الجرعة
2️⃣ اجراءات وقائية لتجنب حدوث الغيبوبة مجددا
📍التأكد من تجنب السبب الاساسي
📍ينصح المرضى بتناول ملين اللاكتيلوز lactulose للتأكد من الاخراج ٣-٤ مرات يوميا حيث يقوم الملين بتغيير تركيبة الامونيا في الأمعاء لتركيبة لا يمكن امتصاصها وبالتالي خروجها مع البراز ومنع حدوث الغيبوبة
📍 عند عدم الاستجابة للملين وبعد التأكد من التزام المريض بالجرعة المحددة وعدد مرات الاخراج اليومي يتم اضافة علاج آخر وهو مضاد حيوي لا يمتص بواسطة الامعاء وهو الرفاكسمن rifaximin والذي اثبت فعاليته من خلال الدراسات الطبية
🔆 تليف الكبد والاستسقاء
الاستسقاء من المضاعفات الشائعة لدى المرضى المصابين بتليف الكبد وهي عبارة عن تجمع السوائل في غشاء البطن او ما يعرف بالغشاء البريتوني
👨🏻‍⚕️🩺 للمختصين
🔆 طريقة تكون الاستسقاء
🔆 هناك عدة أسباب للاستسقاء وهي
1️⃣ تليف الكبد وارتفاع ضغط الوريد البابي
2️⃣ تجلط الوريد الكبدي
3️⃣ أورام الكبد والغشاء البريتوني
4️⃣ التهابات الغشاء البريتوني مثل السل
5️⃣ أمراض البنكرياس
6️⃣ أمراض الامعاء
7️⃣ ضعف وفشل عضلة القلب
8️⃣ أمراض الكلى
🔆 أعراض الاستسقاء
📍انتفاخ البطن
📍زيادة الوزن
📍ضيق النفس
📍بالاضافة للأعراض المتعلقة بالسبب الرئيسي
⛔️ عند حدوث التهاب سائل البطن البكتيري والذي يحدث لدى مرضى التليف الكبدي فالاعراض
📍الالام البطن
📍ارتفاع في درجة الحرارة 🌡
🔆 يتم سحب السائل البريتوني لغرض التشخيص وايضا في بعض الحالات لغرض علاجي بتحسين اعراض المريض وخاصة اذا كانت لديه اعراض تنفسية بسبب ضغط سائل البطن على منطقة الرئتين
🔆 يتم السحب باجراء طبي يسمى البزل البريتوني Paracentesis بواسطة ابرة خاصة وبمساعدة الاشعة الصوتية في بعض الحالات
👨🏻‍⚕️🩺 للمختصين
🔆 هذه قائمة بالتحاليل التي ترسل للسائل البريتوني بالاضافة لتحاليل دم تؤخذ في نفس وقت البزل وهي albumin,Protein,LDH
👨🏻‍⚕️🩺 للمختصين
🔆 بناء على نتائج تحاليل البزل يتم تحديد التشخيص المحتمل والقيام بالتحاليل الاضافية للوصول للتشخيص
Serum-to-ascites albumin gradient/SAAG
⬇️⬇️
Serum albumin-Ascites albumin
🔆طرق علاج الاستسقاء
1️⃣ الحد من تناول الملح🧂وهو من اهم الامور الواجب اتباعها والحد اليومي ٢جرام
2️⃣ تجنب مسكنات ومضادات الالتهاب مثل البروفين ومشتقاته
3️⃣ مدرات البول
4️⃣ البزل البريتوني المجدول
5️⃣ التحويلة البابية الكبدية TIPS
6️⃣ زراعة الكبد
⛔️في حال الالتهاب⬅️ المضادات الحيوية
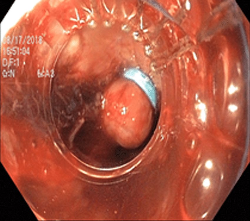
🔆 نزيف دوالي المريء والمعدة
📍يعتبر نزيف دوالي المريء من أشهر أسباب نزيف الجهاز الهضمي لدى مرضى تليف الكبد
📍دوالي المريء تظهر في ٥٠٪ من مرضى التليف والنسبة السنوية المحتملة للنزيف تتراوح بين ٥-١٥ ٪
📍دوالي المريء عبارة عن أوردة غير طبيعية متضخمة
📍في الوضع الطبيعي اوردة المريء لا تظهر ولكن عند حدوث التليف يرتفع ضغط الدم في الوريد البابي وبالتالي يؤدي الى امتلاء أوردة المريء بالدم وبالتالي تظهر هذه الاوردة وتسمى بدوالي المريء ويتم اكتشافها بالمنظار او الاشعة المقطعية
🔆 أنواع دوالي المريء والمعدة
⛔️ تكون دوالي المريء عرضة للنزيف وعند حدوث النزيف تعتبر حالة طبية طارئة تستوجب التدخل الطبي العاجل
✅ لذلك يحرص الطبيب على اتخاذ كافة الاجراءات الوقائية لتجنب النزيف عند اكتشاف الدوالي عن طريق الفحص المبكر حيث ينصح كل مرضى تليف الكبد بعمل منظار الجهاز الهضمي العلوي عند التشخيص
🔆 أعراض نزيف دوالي المريء والمعدة
📍تقيؤ دم احمر
📍تقيؤ ما يشبه القهوة السوداء (دم متجلط)
📍ليونة البراز وتغير لونه الى اللون الاسود
واذا كان النزيف شديد يكون هناك اعراض تعكس نزول نسبة الدم في الجسم وهي
📍الشعور بالضعف العام
📍خفقان القلب
📍الدوخة او الاغماء
🔆 عند الاشتباه بالتشخيص يتم معالجة الشخص مباشرة باعطائه
📍المغذيات
📍أدوية عن طريق الوريد تساعد في التحكم النزيف
📍مضاد حيوي وقائي لتقليل فرصة الاصابة بالالتهاب
📍نقل دم 🩸 عند الحاجة
✳️ وبعدها يتم عمل منظار علوي للجهاز الهضمي بغرض التشخيص والعلاج
📍ويتم علاج دوالي المريء عن طريق ربط الدوالي
📍ويتم علاج دوالي المعدة عن طريق الحقن او باستخدام منظار الاشعة الصوتية
📍وبعد علاج حالة النزيف يتم اكمال مواعيد المناظير لاكمال ربط الدوالي المتبقية على عدة جلسات
📍ويتم وصف احدى ادوية حاصرات بيتا مثل البروبرانولول (اذا لم يوجد اي مانع طبي من استخدامه) للمساعدة في الوقاية من تكرار النزيف
🔆 سرطان الكبد
📍عالميا يعتبر سادس انواع السرطان ترتيبا من حيث الانتشار
📍الذكور اعلى نسبيا بالاصابة به من الاناث
📍يعتبر رابع انواع السرطان المسببة للوفاة
🔆 عوامل زيادة خطر الاصابة بسرطان الكبد
📍فيروس الكبد ب
📍تليف الكبد لاي سبب ( فيروس الكبد ج/ تشمع الكبد/ تناول الكحول/ التهاب الكبد المناعي وغيرها)
📍زيادة الحديد بالكبدHemochromatosis
📍السموم الفطريةAflatoxin
📍اسباب وراثية والتاريخ العائلي بالاصابة
📍تناول الكحول
📍التدخين
🔆 عوامل الوقاية من سرطان الكبد
📍اخذ تطعيم فيروس الكبد ب لغير المصاب
📍علاج فيروس الكبد ب والتأكد من خمول الفيروس وعدم نشاطه
📍علاج فيروس الكبد ج
🔆 بعض العوامل الاخرى مثل ممارسة الرياضة وتناول القهوة السوداء والحمية الغذائية مع تناول الاسماك والاوميغا ٣ ولكن تحتاج دراسات اكثر
🔆 أعراض المرض
📍في المراحل الاولى قد لا تظهر اي أعراض
📍الم في البطن
📍الاحساس بالشبع مبكرا او فقدان الشهية او نقص الوزن
📍الاحساس بوجود ورم جهة الكبد تحت الجلد
📍اليرقان
📍اذا كان الشخص مصابا بتليف الكبد قد تظهر عليه علامات ومضاعفات التليف
📍أعراض خارج الكبد عند انتشار الورم
🔆 طرق التشخيص
✳️ الاشعة الصوتية وعند الاشتباه بالتشخيص يتم طلب ⬅️
✳️ الاشعة المقطعية أو اشعة الرنين المغناطيسي ⬅️ لانهما أدق في التشخيص من الاشعة الصوتية
✳️ خزعة الكبد تطلب في بعض الحالات التي يكون لا يزال فيها اشتباه بعد الاشعة وخاصة اذا لم يكن المريض مصابا بتليف الكبد
🔆 طرق العلاج
تختلف طرق العلاج بناء على حالة المريض وتشمل التالي:
✅ استئصال الورم بالجراحة
✅ الكي او حقن الكيماوي بالاشعة التداخلية
✅ زراعة الكبد
✅ العلاج الكيماوي بالفم
✅ العلاج التلطيفي
👨🏻‍⚕️🩺 للمختصين ⬅️
🔆 ينصح مرضى تليف الكبد بالفحص الدوري وعمل الاشعة الصوتية مع تحليل دم علامة الورم alfa fetoprotein / AFP كل ٦ أشهر للكشف المبكر عن سرطان الكبد

جاري تحميل الاقتراحات...