Essam Dagal | عصام دقل
Essam Dagal | عصام دقل

@EssamDagal

6 تغريدة 230 قراءة Apr 15, 2020
نبدأ من اليوم بإذن الله بموضوع شائع ومتكرر في أمراض الفم وهو:
القرح القلاعية (Oral aphthous)
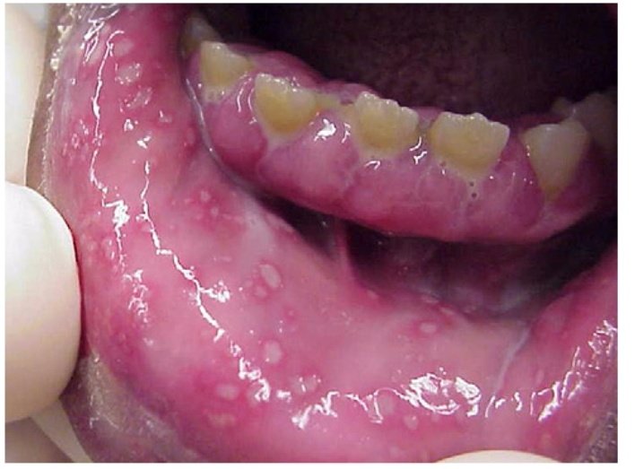
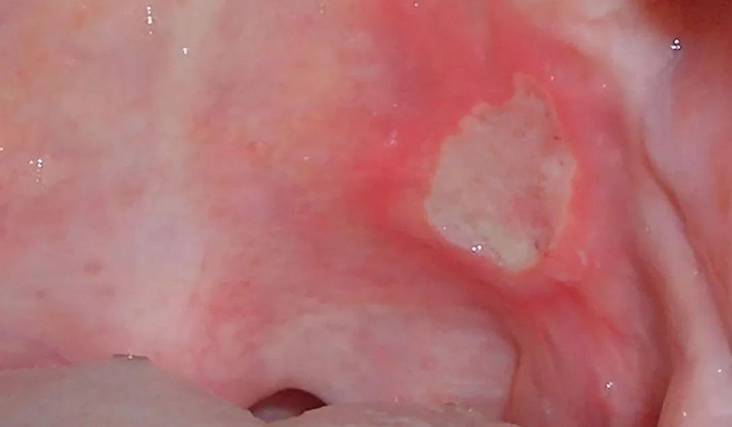
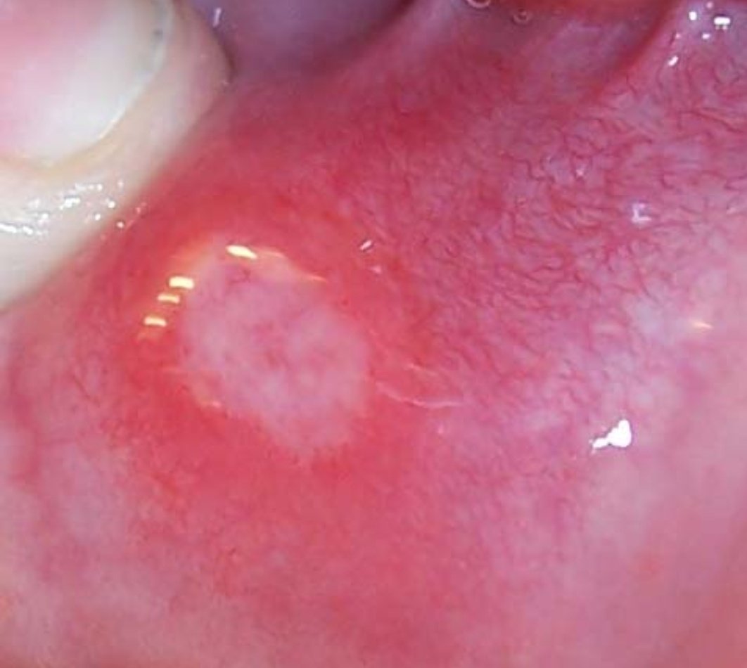
هي تقرحات مؤلمة متكررة، تكون منفردة او متعددة من ناحية الكم. هناك نوعان من القرح النوع الصغير (عدة مليمترات) الأكثر شيوعاً
والنوع الكبير (اكبر من نصف سنتيمتر) #مع_دكتور_عصام
تظهر القرحة في حوالي 20 ٪ من السكان. سبب القرحة غير معروف. يمكن أن تظهر القرح في أي مكان في الفم باستثناء الحنك واللثة.
عندما يكون ظهور العديد من الآفات الشبيهة بالقرحة مصحوبًا بالحمى ، فمن شبه المؤكد أنه إصابة بفيروس الهربس البسيط (Herpes simplex).
قد تكون الآفات الرقيقة أيضًا أول مظاهر متلازمة بهجت النادرة (Behcet syndrome) ومرض كرون (Crohn's disease) و يمكن أن تحدث التقرحات الشبيهة بالقرحة أيضًا بعدوى فيروس نقص المناعة البشرية HIV.
تلتئم القروح الصغيرة في غضون أسبوع تقريبًا و القروح الكبيرة قد يستغرق الشفاء عدة أسابيع. لا يوجد علاج أو علاج موضعي ثبت أنه له تأثير على الشفاء أو على الوقاية من القروح.
قد ثبت أن غسول الفم باستخدام هيدروكلوريد التتراسيكلين يسرع الشفاء إلى حد ما في قرح الفم الكبيرة.

جاري تحميل الاقتراحات...