16 تغريدة 30 قراءة Feb 03, 2020
?أنواع الأوساط الغذائية ( Culture Media) المستخدمة في الميكروبيولوجيا وخصائص كلاً منها ?:
#فريق_الأحياء_التطوعي
@BioVolunteers
1- Chocolate Agar
• بيئة غنية(Enriched Media) تنمو عليها أغلب البكتيريا.
• تحتوي على عوامل X و V الناتجة من تفجر كريات الدم الحمراء RBCs والتي يمكن من خلالها نمو Heamophilus spp و Neisseriae والتي تعتبر هذه الأنواع من البكتيريا صعبة النمو .
2- Blood Agar
• بيئة غنية (Enriched Media) تنمو عليها معظم البكتيريا.
• بيئة تفريقية Differential بين أنواع البكتيريا المحللة للدم عن طريق :
١-التحلل الكامل للدم (Beta hemolytic ) ٢-أو التحلل الجزئي للدم(Alpha hemolytic)
٣-أو عدم التحلل للدم(Non hemolytic).
3-MacConkey Agar
• بيئة تفريقية للتفريق بين البكتيريا
المخمرة للاكتوز (Lactose fermenting)
والتي تأخذ اللون الأحمر مثل
E.coli, Klebsiella, Enterobacter
وبين البكتيريا الغير مخمرة للاكتوز
(Non -lactose fermenting)
والتي ليس لها لون (شفاف) مثل
Proteus, Salmonella,Shigella
• تحتوي MacConkey Agar
على Crystal violet أو Bile Salts بحيث تسمح للبكتيريا السالبة لصبغة جرام بالنمو وتثبط نمو الموجبة لصبغة جرام .
4- ( CLED agar)اختصار ل
Cystine Lactose electrolyte deficient
• وسط لزراعة عينات الجهاز البولي.
• بيئة تفريقية للتفريق بين البكتيريا :
المخمرة للاكتوز (Lactose fermenting)
والتي تأخذ اللون الأصفر مثل E.coli .
وبين البكتيريا الغير مخمرة للاكتوز
(Non-lactose fermenting )والتي ليس لها لون (شفاف) مثلAcnitobacter
بسبب وجود الكاشف
Bromothymol blue .
• لها نفس وظيفة الـ MacConkey Agar
5-(XLD) اختصار ل
Xylose Lysine Deoxycholate
• بيئة اختيارية تفريقية لـ Salmonella و Shigella حيث أن الـ Salmonella تأخذ اللون الوردي لوجود Phenol Red مع وجود لون أسود في المركز نتيجة تحلل مواد موجودة في البيئة ينتج عنها غاز H2S والـ Shigella تأخذ مستعمراتها اللون الوردي فقط.
6-(SS Agar) اختصار ل
Salmonella - Shigella agar
• بيئة اختيارية لا تسمح بنمو البكتيريا الموجبة لصبغة جرام وبعض البكتيريا السالبة لصبغة جرام ماعدا
Salmonella and Shigella
بسبب وجود
sodium citrate and bile salts and Brilliant Green
• بيئة تفريقية لـ Salmonella و Shigella
حيث أن الـ Salmonella تأخذ لون البيئة (شفاف) مع وجود لون أسود في المركز نتيجة تحلل مواد موجودة في البيئة ينتج عنها غاز H2S
والـ Shigella تأخذ مستعمراتها لون الوسط(شفاف).
7-(Mannitol salt Agar (MSA
• بيئة تفريقية للتفريق بين Staphylococcus species و Staphylococcus aureus التي تخمر المانيتول بتأثيرها على لون الكاشف
Phenol Red وتعطي اللون الأصفر
بينما الـ Staph الأخرى لا تخمر المانيتول .
• بيئة اختيارية لأن تركيز الأملاح العالي (Nacl 7.5%) الموجود فيه يثبط نمو الميكروبات الأخرى .
8- (TCBS)اختصار ل
Thiosulphate Citrate Bile Salt Sucrose Agar
• بيئة اختيارية لعزل الكوليرا
Vibrio Cholerae
• تثبط نمو معظم الـ Enterbacteria والبكتيريا الموجبة لصبغة جرام بسبب احتوائها على مواد مثبطة وكذلك قلوية PH .
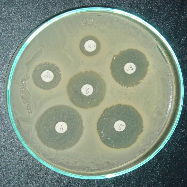
9-Mueller Hinton Agar
• بيئة ضعيفة المواد الغذائية .
• مناسبة لعمل اختبارات الحساسية (Antibiotic susceptibility) لأنها لا تحتوي على أية نسب من المواد الكيميائية بحيث لا تتفاعل مع المضادات الحيوية.
10- Bile Esculine
•بيئة تفريقية بين الأنواع المختلفة من الـ Streptococcus و
Enterococcus (E. Faecalis)
التي تفرز عند نموها على هذه البيئة إنزيم يكون مركب اسود يدل على وجود Enterococcus
•أيضاً وجود (4% أملاح الصفراء) يثبط الكثير من البكتيريا دون أن يؤثر على نمو Enterococcus.
11- (SDA) اختصار ل
Sabouroud Dextrose Agar
• بيئة اختيارية لنمو الفطريات .
• الـ PH حامضي لذلك لا تسمح بنمو البكتيريا.

جاري تحميل الاقتراحات...