Hanan د.حنان الغامدي
Hanan د.حنان الغامدي

@hananmalghamdi

9 تغريدة 329 قراءة Jan 17, 2020
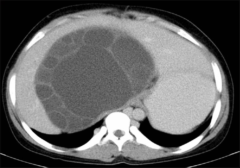
ما تراه هي الاكياس ل
داء المُشْوِكات أو داء المكورات المشوكة (باللاتينية: echinococcosis)أو مرض الأكياس المائية أو الكيس العدري هو مرض يسببه طفيلي من جنس المشوكة يدخل جسم الإنسان عن طريق الفم
✅الجديد هو استئصال كامل الأكياس بكل الأغشية بواسطة “المنظار”تترواح أحجامها من١٨-١٥ سم
تتكون دورة حياة الطفيلي (من الديدان الشريطية) من جزئين:
جزء في المضيف المؤقت وهو حيوان يأكل العشب كالخروف والبقر والإنسان.
جزء في المضيف الدائم وهو حيوان يأكل اللحوم مثل الكلب.
ينتشر المرض الطفيلي (اكياس هيدريه) في الدول التى بها مواشي وزراعة
يأكل المضيف الدائم(كالكلب)اللحم الملوث بالطفيلي (مثلا كبد الخروف المصاب بالمشوكات)فيتحول الطفيلي إلى دودة بالغة شريطية في أمعاء الكلب، وهذه تنتج بيوضاً تطرحها مع غائط الكلب. عندما تتلوث الخضروات بغائط الكلب فإن الحيوان العشبي مثل الخروف أو الإنسان إذا تناول هذه الخضروات الملوثة
بالبيوض (بالنسبة للإنسان عن طريق الخضروات غير المغسولة جيداً) فإن البيوض تدخل في أمعاء الإنسان أو الخروف فتفقس ويسبح الطفيلي مع الدم إلى الكبد أو الرئتين أو الكلية، وهناك يستقر فينمو بشكل كيس. في داخل هذا الكيس تنمو آلاف من يرقات الطفيلي.
لا يسبب الكيس عادةً أعراضاً، لكنه يكبر، ما قد يسبب أعراضاً بسبب ضغط الكيس على الأعضاء المجاورة له. كما قد ينفجر الكيس ما يؤدّي إلى صدمة تأقيةً وهبوط في الدوره الدمويه و وفاه مفاجئة
يتم تشخيص المرض عن طريق التصوير المقطعي أو الاشعه الصويتيه (توضح الصور وجود الأغشية الطفيلية).
أيضا فحص الدم المناعي (مستضدات السائل العداري) في بعض الأحيان يكون إيجابي لكن هذا الفحص لا يظهر الإصابة في نصف المصابين
الأعراض تضهر بسب الضغط على الأعضاء المجاورة كالقناة المرارة مما يسبب ارتفاع المادة الصفراء في الجسم والتهاب قنوات الصفراء بسبب انسدادها.
او الضغط على الأوعية الدموية المجاورة.
انفجار الكيس يؤدي إلى انتشاره في عضو
علامات التشخيص:
١. الم
٢. انتفاخ البطن(تظخم الكبد)
٣. بيئة مواشي
طرق العلاج:
١. الاستئصال الجراحي وهو الافضل ويجب استئصال كامل الأغشية المحيطة بالكيس و جزء من الكبد ان استدعي
٢. الحقن بمادة قاتله كمركز الملح (١٤٪) او كحول (١٠٠٪) مع التأكد من عدم وجود اتصال بالقناة المراريه مما قد يودي إلى كارثه.
يتطلب التدخل الجراحي الحرص بان لا ينفجر الكيس
هناك دواء يفيد للعلاج اسمه ألبيندازول يعطي بجرعة 400 مغ مرتين في اليوم. لكن الجراحة تبقى هي الوسيلة الأحسن لأن الدواء قد لا يتمكن من الوصول إلى داخل الكيس.
يتم متابعة استجابة المريض بواسطة التصوير الإشعاعي و تحسن مستضدات الطفيلي إلى مستوى طبيعي
???
المصدر
ar.m.wikipedia.org

جاري تحميل الاقتراحات...