Prof. Hussein Abulreesh
Prof. Hussein Abulreesh

@drhhabulreesh

24 تغريدة 83 قراءة Jan 10, 2020
#أمسيات_الطب_و_العلوم_بالعربية #liveChat #tuberculosis #السل
مساء الخير جميعا، بداية احب ان اشكر الدكتورة @DrSusanNasif على فكرة اقامة هذه الفعالية، و اشكرها على اختيارها لي للتعاون في تقديم هذه الامسيات، لتكون هذه اول امسيه و ان شاء الله تحقق الفائدة المرجوه
للتذكير فإن فكره هذه الامسيات تهدف الى تثقيف غير المتخصصين، عن طريق تبسيط المعلومات و تقديم مادة علميه سهله يفهمها الجميع، لذلك سبجد المختصون ان ما نقدمه من معلونات ربما لن يمون جديدا و لكن دورهم كبير جدا في اثراء الحوار لاكمال ما يقد يسقط سهوا من معلومات
ارجو من المتابعين الكرام البظء بالمداخلات و الاسئلة فقط بعد الانتهاء من تقديم المادة العلمية حتى لا يتشتت الموضوع. ... بسم الله نبدأ
مرض الدرن / السل Tuberculosis مرض معدى تسببه بكتيريا مايكوباكتيريوم تيوبركيلوسيز Mycobacterium tuberculosis ، و المرض يصيب الجهاز التنفسي الا انه قد ينتقل الى اجهزة اخرى في الجسم اذا لم يعالج المريض. المرض فتاك و قاتل حيث تشير الاحصائيات ان عام 2017 توفى حوالى 1.6 مليون شخص
تنتقل العدوى عن طريق الرذاذ المتطاير مع السعال (الكحة)، العطس، و كذلك الكلام، حيث يكون الرذاذ محمل بالاف الخلايا الضارية القادرة على احداث العدوى، تشمل الاعراض، حمى، تعرق ليلي، سعال، بلغم مصوبا بدم
عدد كبير من الافراد قد يصابون بسلالات كامنة (غير مسببة لظهور الاعراض) و تسمى Latent Mycobacterium ، و يضلون حاملين لها و لا يكونوا مصدر عدوى اطلاقا، و لكن 10 من هذه الحالات قد تتحول السلاله الى الحالة النشطة التي تسبب العدوى و ظهور الاعراض
من اعراض المرض فقدان كبير للوزن و كان يطلق عليه مجازا (المستهلك consuption) اشارة الى انه يستهلك صحة الانسان بشكل ملحوظ و كبير.
عند وصول البكتيريا الى الرئتين تستقر في الحويصلات الهوائية و تبدأ في التكاثر، تحاول الخلايا الاكولة macrophage التخلص منها بواسطة ابتلاعها ثم تحليلها بواسطة انزيميا و لكن لا تتمكن بسبب ان جدارها الخلوي يحتوى على طبقة كثيفة من حمض المايكوليك mycolic acid ذو الطبيعة الشمعية
تبدأ خلايا البكتيريا في التكاثر داخل الخلايا الاكولة و ما تلبث ان تموت الخلايا الاكولة و تخرج منها خلتيا البكتيريا التي تنتقل داخل الحويصلات الهوائية و تدمرها تماما
تاريخيا تذكر الادبيات ان مرض السل / الدرن قد يكون بدأ قبل 17000 عام، و تشير بعض الادبيات الى انه لوحظ وجود اثار للاصابة بالدرن الرئوي في بعض مومياء الفراعنة. و على الرغم من ان المرض عرف بشمل اكبر في العصر الحديث الا ان العالم روبيرت كوخ هو اول من عرف البكتيريا مسببة المرض
في عام 1882 تمكن العالم روبيرت كوخ من تعريف مسبب المرض على انه بكتيريا Mycobacterium و حصل على هذا الاكتشاف المذهل انذاك على جائزة نوبل في الفسيولوجيا و الطب عام 1905 ، روبيرت كوخ ايضا قام بالتفريق بين البكتيريا المسببة للسل الرئوي و السل البقري
هناك عدد من عوامل الخطر Risk factors تلعب دور في حدوث الاصابة، منها، ضعف الجهاز المناعي، الاكتظاظ البشري في مساحات ضيقه سيئة التهوية، وجود مشكلات صحية في الجهاز تلتنفسي و نمط المعيشة (شراهة التدخين مثلا) من العوامل التي تسهل سرعة الاصابة و حدوث المرض حال التعرض للبكتيريا
يقال "درهم وقاية خير من قنطار علاج"، حاليا الطريقة الوحيدة للوقاية من هذا المرض (بأذن الله) من خلال اللقاح/ التحصين vaccine المعروف BCG
لقاح BCG ، Bacillus Calmette Gurein ينسب الى العالم Albert Calmette و Camille Guerin الذان عملا على انتاجه لمده 13 عام، حيث استخدموا سلالة من بكتيريا السل البقري و حاولوا اضعافها وذلك باعدة تزريعها 239 مرة خلال 13 عام لتتحول الى سلالة موهنه / ضعيفة
الهدف من محاولة اضعاف السلالة هو ان تكون حيه تحث الجهاز المناعي للتعرف عليها و انتاج اجسام مضادة Antibodies و في نفس الوقت تكون هذه السلالة غير قادرة على احداث المرض و بالتالي يكون الجهاز المناعي جاهزا لمجابه السلالات الضارية حال التعرض لها. اللقاح استخدم لاول مرة عام 1921 م
بالنسبة لبكتيريا النايكوباكتيريوم Mycobacterium اضافة الى النوع المرتبط بالسل الرئوي، هناك نوع يسبب السل البقري Mycobacterium bovis و هناك نوع اخر يسبب مرض الجذام leprosy و هي Mycobacterium leprae
طبعا عدم استخدام اللقاح للوقاية يكون الفرد معرضا للاصابة حتى بالسلالات الكامنة latent و التي قد تتحول الى سلالات نشطة و تسبب المرض، لذلك عدم اخذ اللقاح و الاعتماد على العلاج بمضادات الحيوية حال حصول العدوى يعتبر امر غير مجدى خصوصا ان هناك سلالات مقاومة كليا لمضادات الحيوية
و يطلق على هذه السلالات TDR-MTB او totally drug resistant Mycobacterium tuberculosis او XDR-MTB او Extensively druge resistant Mycobacterium tuberculosis
السؤال المهم، هل يمكن ان يوفر لقاح BCG حماية ضد الانواع الاخرى من Mycobacterium التي تسبب مرض الجذام مثلا؟ الاجابة نعم و لكن بدرجات متفاوته، و لكنه يظل خيار مهم جدا
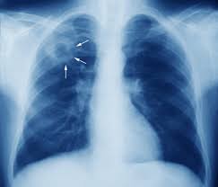
يمكن تشخيص مرض السل الرئوي / الدرن من خلال عمل اشعة للرئة و كذلك عمل شريحه لعينه بلغم مصبوغة بطريقة الصبغ الصامد تجاه الاحماض Acid-fast staining او ما يعرف بطريقة زيل-نيلسين Ziehl-Neelsen method و يكون لون الخلايا احمر وردي (صبغة كاربول فوكسين)
ايضا يمكن تشخيص الاصابة من خلال اختبار السلين tubercullin عن طريق الحقن تحت الجلد. البكتيريا يمكن تزريعها على بيئة Lowenstein-Jensen
نعود للقاح الدرن، حيث اشارت بعض الدراسات ان لقاح BCG قد اظهر فعالية في انخفاض انتشار الملاريا malaria بين الاطفال في سن الخامسه في افريقيا
قد يتسأل البعض، كيف يمكن الحد من تحول السلالات الكامنه latent و منعها من احداث المرض، حيث ان هناك 10%من الافراد الذين يحملون هذه السلالات قد تتحول فيها البكتيريا الى نشطة. هناك علاج ثلاثي يحل هذه المشكلة مكون من isoniazid و rifampin و rifampentine حسب ما ذكر في CDC مؤخرا
العمل يجري حاليا على تحصين vaccine جديد للسل الرئوى اطلق عليه رمز M72/AS01E ... اخر مستجدات هذا النحصين في شهر يوليو 2019 عقدت منظمة الصحة العالمية اجتماعا للتعرف على مسار التطوير السريري للقاح Clinical Development Pathway

جاري تحميل الاقتراحات...