كوثر فارس ¦ Kouther Faris
كوثر فارس ¦ Kouther Faris

@Koutherfaris

14 تغريدة 93 قراءة Sep 08, 2019
مساء الخير اليوم راح نتكلم عن بكتيريا
(Helicobacter pylori)
المعروفة ب جرثومه المعدة 😖🦠
راح تكلم عن :
📌تعريفها
📌أعراضها
📌خطورتها
📌التحاليل الازمه لاكتشافها
📌علاجها
اسمها بالعربي
(ملوية بوابية)
وهي بكتيريا سالبة الجرام، عصوية الشكل
تسبب الH. Pylori بإلتهابات مزمنه في المعدة او الجزء الأول من الأمعاء الدقيقة (الاثنا عشر) وهي سبب شائع للإصابة بقرحة المعدة في جميع أنحاء العالم 😶💔🌏
تتسبب البكتيريا بالتهاب المعده المزمن عن طريق غزوها لبطانة المعدة وإنتاج سموم خلويه تعرف ب
(Vacuolating cytotoxic A)
وبالتالي تتسبب بتكوين التقرحات
...
على الرغم من أن العديد من المصابين لاتظهر عليهم الأعراض، إلا أن من تظهر عليهم الأعراض قد يعانون من :
⬇️
📌الشعور بعدم الارتياح في البطن
📌الانتفاخ
📌الغثيان والقيء
📌كثرة التجشؤ
📌احيانا وجود دم في القيء
📌الآم في المعدة
📌قلة الشهية
📌إعياء
📌قرحة هضمية
📌فقر الدم
📌رائحة فم كريهة
📌إسهال
📌لون براز داكن جدا
📌قد تؤدي للإصابة بسرطان المعدة
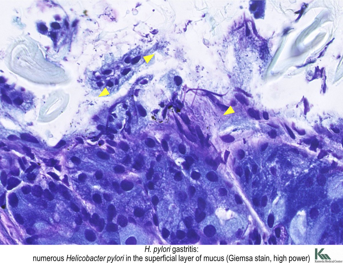
انواع العينات المستخدمه للتحليلها والكشف عن وجود بكتريا
H.pylori
📌خزعة من بطانة المعدة
📌عينة من تنفس المريض
📌عينة براز
في عينه البراز راح يتم البحث عن وجود antigen
البكتريا
عن طريق استخدام kit مخصص لهذا التحليل.
باستخدام عينه تنفس المريض سوف يتم إجراء تحليل يعرف ب
Urea breath test
...
1️⃣حيث يأخذ أخصائي الرعاية الصحية عينة من أنفاس المريض عن طريق التنفس في كيس.
2️⃣سوف يتم توجيه المريض لشرب سائل يحتوي على مادة اليوريا ثم ينتظر ١٥ دقيقة.
3️⃣خلال هذا الوقت إذا كانت الH. Pylori موجودة في الجهاز الهضمي، ستقوم البكتريا بتكسير اليوريا وتحويلها إلى غاز ثاني أكسيد الكربون والذي بدوره سوف يخرج مع التنفس.
4️⃣يتم جمع عينه تنفس ثانيه عن طريق الكيس.
5️⃣عند احتواء العينة الثانيه على مستوى أعلى من غاز ثاني أكسيد الكربون من المستوى الطبيعي فهذا يدل على الاصابه بعدوى
الH. Pylori
باستخدام الخزعة من بطانة المعدة
يتم فحص الانسجة تحت المجهر من قبل أخصائي علم الأمراض الذي سيبحث عن بكتيريا ال H. Pylori او اي علامات مرضية أخرى قد تظهر على خلايا المريض.
كيف يمكن لهذه البكتيريا ان تعيش في بيئة المعدة الحامضية بدون أن يتم هضمها؟ 🤔
تنتج الH. Pylori انزيم اليوريز (urease)
وهو انزيم يسمح لها بالبقاء على قيد الحياة في المعدة عن طريق تفاعله مع اليوريا لينتج امونيا وبالتالي يقوم بمعادله بيئة المعدة الحامضية ‼️
علاج جرثومه المعدة 💊
يمكن أن يكون من الصعب القضاء عليها بسبب مقاومة المضادات الحيوية؛ بالتالي عادة مايتم إعطاء نوعين او اكثر من المضادات الحيوية معاً
تم بحمد الله 🙏

جاري تحميل الاقتراحات...