🌿| د. مي المحارب
🌿| د. مي المحارب

@maymuhareb

48 تغريدة 439 قراءة Aug 27, 2019
ثريد عن الفلورايد، ماهو؟ فوائدة والإشاعات التي تدور حوله، إجابة على تساؤلاتكم✨
الثريد استغرق مني لتجهيزه شهر كامل و٦٠٠ صفحة من عدة مصادر معتمدة لأختصره لكم في ثريد، أرجو أن يفيدكم وأن تُكلموا القراءة حتى النهاية
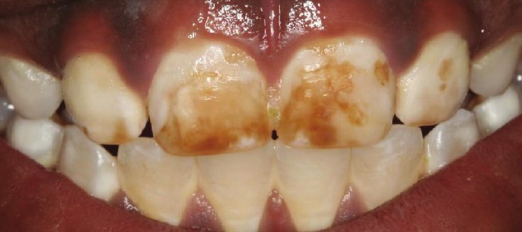
قصة الفلورايد بدأت مع طبيب الأسنان د فريدريك مكاي في ولاية كولارادو عام ١٩٠٩ م حين لاحظ كثير من الناس بتصبغات بنية اللون لكن دون أي تسوسات أسنان رغم انتشار التسوسات بشكل كبير حينذاك. فشد ذلك انتباهه ليطلب من جمعية طب الأسنان الحضور والبحث عن سبب ذلك (الصورة يمين مثال للحالة)
قضى ٦ سنوات من البحث والجولات حول الأطفال في الشوارع للبحث ماذا قد يكون سبب هذا التصبغ البني الغريب المقاوم للتسوس الذي لم يجد له سببًا في جميع الكتب التي درسها. إلا أن فكرة غريبة راودته عن المياه حين قيل له عن تركيب أنابيب مياه جديدة..
فطلب تغيير مصدر المياه، وبعد بضع سنوات، كان للأطفال أسنان سليمة. وبذلك عرف مكاي أن نظريته عن المياه صحيحة.
وبعد ٣٠ عام من البحث.. يجد مكاي الإجابة أخيرًا:
"الفلورايد يحمي من التسوس".?✨
ثم بحث، هل يمكن أن نستخدم تلك المادة بتوازن يمنحنا الفائدة لمنع التسوس دون التسبب بتلك التصبغات كما حصل؟
ولحسن الحظ وُجدت الإجابة، الحد الفاصل كان نسبة فلورايد في مياه الشرب ٠.٧-١.٢ مغ وتختلف النسبة من دولة لأخرى تبعًا لدرجة الحرارة ونسبة الاستخدام (كلما شربنا أكثر تقل النسبة)
واليوم، الفلورايد يوجد في أغلب الشركات، من معجون أسنان وغسول فم وخيط أسنان وفي العيادات والمياه والطعام والهواء.
-
فكيف نستفيد منه؟ وكيف نتجنب الضرر؟ وماهي الإشاعات حوله وما مدى صحتها؟
الفلورايد:
معدن يتواجد بشكل طبيعي في كل المياه الطبيعية وهو الشكل الأيوني من عنصر الفلورين في التربة والصخور ويصفّى للمياه الأرضية بنسبة ٦٧مغ/ل
وفي مياه البحر بنسب ١.٢-١.٤ مغ/ل
وبالأنهار بنسبة ٠.٥ مغ/ل
وبالهواء بنسبة ٠.٠٥-١.٩٠ نمغ/ل
وأعلى بالمناطق الصناعية لتصل ١٦-٤٦
وضع مركز التحكم بالأمراض حد أعلى لتواجد الفلورايد بالهواء لعمال المصانع لا يتعدى ٢.٥ مغ وغاز هيدروجين الفلورايد لايتعدى ٢ مغ والنسبة القصوى في مياه الشرب لا تتعدى ٤ مغ (جميع الدول بها أقل من ١.٥ مغ في جميع المياه لا تصل لدرجة الضرر نهائيًا) ATSDR
بالجداول يتضح تواجد الفلورايد في معظم الأطعمة حولنا كل يوم مما يوضح عدم سميته وكونه مادة من الطبيعة خلقت وجدت للاستفادة منها. من المصادر: منتجات الحليب، الشاي، الخضروات، الزيوت والدهون، الحلويات والسكريات، العصيرات، اللحوم والأسماك، حليب الأطفال، حبوب الإفطار
حليب الأم يحتوي على ٠.٠٢ مغ من الفلورايد تقريبًا
أما الشاي فيحتوي على ٤٠٠ مغ من الفلورايد. تشير دراسة إلى أن ٣٤٪ من فلورايد الشاي الأسود تبقى في الفم.
وكذلك حليب البودرة وحليب الصويا
تعد المياه والمشروبات (غير منتجات الحليب) من مصادر الفلورايد المهمة ٦٦-٨٠٪ حسب احصائيات الولايات المتحدة. والمصادر الأخرى له هي معاجين الأسنان وتطبيق الفلورايد في العيادة بشكل قوالب أو جل أو رغوة
المضاعفات الجانبية للفلورايد تحدث عند أخذ كميات كبيرة عن الحاجة اثناء النمو بطريقة غير الموصى بها. فعند أخذه بكميات صحيحة لا ضرر في ذلك.
فلنشرح ماذا يحدث عند أخذ الفلورايد للجسم؟
نسبة ٧٥-٩٠٪ من الفلورايد يتم امتصاصها في معدة شديدة الحمضية ويتم تحويله إلى هيدروجين الفلورايد HF وقرابة ٤٠٪ تمتصه المعدة كهيدروجين الفلورايد. (حمضية المعدة تقلل الامتصاص بتقليل النسبة). الفلورايد لايمتص إلا في الأمعاء حين لا توجد حمضية تؤثر عليه.
بعد نقله إلى الدم يبدأ رحلته للمناطق العالية بالكالسيوم: العظام والأسنان. في الصغار ٨٠-٩٠٪ يتم امتصاصه أما الكبار فتقل النسبة إلى ٦٠٪. ثم يتم اخراجه عن طريق البول.
توجد عدة اشكال للفلورايد في الطبيعة ثم محورته لاستخدامه في المنتجات:
الفلورين: شكله الطبيعي في الصخور
هيدروجين الفلورين: غاز يمتص بالهواء ويقع للأرض مع الأمطار
الفلورايد: يتبخر للهواء من البراكين ثم إلى التربة والمياه
يتم تصنيعه بدمجه مع المعادن كالصوديوم "صوديوم الفلورايد المطبق في العيادة" يذوب بسهولة بالماء ويلتصق فقط بمناطق العالية الكالسيوم كالعظام والأسنان ولا يلتصق بالأنسجة
ضرر زيادة استخدام الفلورايد على العظام للأطفال خلال النمو يسمى "علاقة طردية" بمعنى عند قلة وجود فلورايد داخل اقل من 0.005 mg/L فإن الفلورايد الخارج سيكون أكثر مع الفضلات ويفسر بأن العظم يتجدد خلال النمو. (EKSTRAND 1996) (WHO 2004)
الضرر الآخر من زيادة الاستخدام عن الحاجة بشكل غير صحيح هو فلورة الأسنان (الصورة) كما رآها مكاي بتصبغات بنية وأسنان قليلة التسوس ولذلك أيضًا علاج تجميلي والأهم أن الضرر هو غير عضوي بمعنى لا يوجد إتلاف أو خطر على الصحة
وهنا ثريد عن الموضوع وعلاجه??
إضافة الفلورايد لمياه الشرب يعتمد على:
١.درجة حرارة المنطقة فكلما زادت حرارة الدولة/المنطقة كلما قلت كمية الفلورايد وذلك لزيادة شرب المياة.
٢.نسبة التسوس في المنطقة و وجود العوامل المسببة للتسوس كنظام الحياة الصحي: السكريات، الكربوهيدرات، العناية الجيدة بصحة الفم والأسنان.
لذا من غير المنطقي المقارنة بين دولة أخرى ونظام تطبيق الفلورايد بها ونظام المملكة. نسبة التسوس للأسنان اللبنية في السعودية تصل إلى ٨٠٪ بتاريخ ٢٠١٨ لذلك الحاجة للفلورايد في مياه الشرب تكون أعلى مقارنة بنسبة تسوس ٥٩٪ في أمريكا
أكثر من نصف العالم يعاني من التسوس، لكن نسب التسوس تختلف حول العالم أيضًا. توجد علاقة وطيدة بين كمية تناول السكريات وبين تكون التسوس. وعلاقة بين الحالة الاجتماعية/المالية وبين التسوس. التسوس أعلى عند الأطفال، المراهقين، ذوي الدخل المحدود، والغذاء المليء بالسكريات.
لشرح كيف يعمل الفلورايد على منع التسوس، نشرح كيف يحصل التسوس:
يحتاج التسوس لفترة زمنية لحصوله. كلما تواجدت السكريات بالفم كلما قلت حمضية الفم بين ٤.٥-٥.٥ pH فيبدأ التآكل بإخراج المعادن من الأسنان demineralization
وتبدأ التسوسات كبقع بيضاء ثم تزداد صفراء برتقالية بنية سوداء لحد النخر وتعديها طبقات الميناء والعاج إلى لب السن مما يؤدي لفقدان الأسنان في حالات الإهمال
في حالات أخرى يلتهب العصب فيحدث الخراج، وتوجد مخاطر كبيرة بانتشار البكتيريا للعظم والأنسجة المحيطة cellulitis ومن ثم انتشارها للدماغ كما حصل في كذا حالة مسجلة من خراج الدماغ ويعد التسوس أهم مسبب لخراج الدماغ
ولكن عند تواجد الفلورايد بالفم وحتى بكميات قليلة فإنه عند تواجد السكريات وحمضية منخفضة يتم صنع كريستالات الفلورابيتات FA (مكون من فلورايد، فوسفات، كالسيوم) يُصنع خلال دقائق ويعمل على تقليل تآكل ميناء الأسنان
الخطوة التالية تحدث عند تعادل الحمضية أي عدم وجود سكريات بالفم (فوق ٥.٥ pH ) اللعاب يغسل الأحماض، وتتحول لأملاح. اذا تم تنظيف الأسنان بالفرشاة ومعجون مدعم بالفلورايد، فهنا يعمل الفلورايد على إعادة المعادن المفقودة (كالسيوم وفوسفات) بفعل الأحماض السابقة
مهم معرفة أن الفلورايد وحده لا يقضي على التسوس لكنه أحد الركائز المهمة في طب الأسنان الوقائي في القضاء على التسوس والإحصائيات العالمية اثبتت ذلك بدراسات من الدرجة الأولى لا غبار عليها. يُضاف معه طريقة استخدام الفرشاة الصحيحة وخيط الأسنان والمراجعات الدورية للعيادة.
البروتوكول المتبع لإستخدام الفلورايد هو من الدرجة الأعلى في الطب المبني على البراهين.
مايعني أكبر عدد من الدراسات القوية على أكبر عدد من المشاركين والتي تم نقدها وتدقيقها ودراسة أضرارها وبالتالي ضمان أمانها قبل وضع توصياتها الحالية.
كانت نسبة التسوس في أمريكا بداية تطبيق الفلورايد في مياه الشرب على طلاب المدارس من الأعمار ١٢-١٧ سنة ٩٠٪, وأجريت دراسة بعدها عام ١٩٩٩-٢٠٠٤ لتجد نسبة التسوس قلت ٦٠٪. واعتبرت نسبة ٠.٧ ppm مناسبة للفائدة دون ضرر (تختلف حسب الدولة)
الفلورايد المطبق في العيادة بشكل احترافي من قبل أخصائين وأطباء مختصين بمقدار معلوم ومحسوب آمن ولا ضرر منه ويكرر حسب الحاجة بناء على الفحص الإكلينيكي لوجود التسوس، أو الوقاية منه مثل مرة سنويًا، وجود حساسية، نظام غذائي غير صحي، مشاكل صحية، خطر التسوس
توجد عدة اشكال من الفلورايد المطبق في العيادة:
الفلورايد في منتجات العناية بالأسنان:
في العيادة منها الجل والسوائل بنسب ٠.٢٤-٠.٢٥ غ كغ
معجون الأسنان ١-١.٥ غ كغ
حبوب الفلورايد ٠.٢٥-٠.٥٠-١ غ كغ
كما يحسب متوسط ابتلاع الأطفال لمعجون الأسنان للفلورايد بنسبة ٠.٧٥ - ٠.٥٠ غ كغ يوميًا
5% NaF varnish
ويطبق لتسوسات الجذور المبدئية على مدى تكرار ٣-٦ اشهر
أو تسوسات الجذور ذات حفر مرة بالاسبوع لمدة ٣ اسابيع
أو تسوسات بين الأسنان تكرر كل ٣-٦ شهور
1.23% gel fluoride
بناء على ١١ دراسة randomized و٤ nonrandomized trials للقوالب الموضعية في العيادة وجدتها مفيدة اكثر للأعمار ٦-١٨ سنة وتكرر حسب الحاجة للتسوسات المبدئية الخارجية أو الأسطح الماضغة ومع الحشوات الوقائية وللوقاية السنوية
38% silver diamine fluoride
ويستخدم لتسوسات الأطفال اللبنية لإيقافها دون حشوة أو حفر
تكرر كل ٦ اشهر لكن يصبح مكانها اسود لا تفضل لسن أمامي قد يزعج الطفل
0.5% fluoride gel (Gel Kam)
بناء على ٨ randomized و ١ nonrandomized وجدت فائدته في تقليل التسوس لكن لا يفضل استخدامه للأطفال تحت سن ٦ سنوات لخطر الابتلاع
عادة يوصف مع العلاج الإشعاعي للأورام لمنع التسوسات الشديدة. ومواعيد مجدولة لتنظيف الأسنان حيث يعطي تصبغات بنية اللون (بوصفة!)
0.09% mouthwash
بناء على ١٠ randomized و٢ nonrandomized كان الاستخدام مرة اسبوعيًا للأسنان الدائمة و وجدت فائدة بالتحكم بنسب التسوس أقل ٣٩٪ ويفضل استخدامها للكبار لضمان عدم الابتلاع ولا تستخدم لصغار السن تحت ٦ سنوات (بوصفة فقط!)
يوجد اكثر من ٣٠ نوع من الجل المطبق في العيادة،
ملخص ١٧ دراسة randomized & nonrandomized clinical trials للأسنان اللبنية والدائمة، وجد أن:
2.26% varnish fluoride
ينصح به لجميع الأعمار وخصوصًا للأعمار تحت ٦ سنوات
بالطبع استخدام المعجون المحتوي على الفلورايد بجميع اشكاله المتوفرة مثبت بدراسات قوية مبنية على البراهين بتحكمة بنسب التسوس عند استخدام الفرشاة بطريقة صحيحة يوميًا لمدة كافية مع خيط الأسنان + غذاء صحي
اشكاله: stannuous flouride, sodium monofluorophosphate, sodium fluoride
إشاعة تسبب الفلورايد بتكلس الغدة الصنوبرية مضحكة جدًا.
توجد قصة لفراعنة مصر القدماء بإفراز هرمون هلوسة عند الولادة وعند الوفاة وهذا يسمى بالعين الثالثة أو مقعد الروح. مما يعطي الشخص انفصال عن الحياة وشعور الموت فقالوا أنه شعور الروح الحقيقي وهو معتقد ديني بحت.
ولا علاقة للغدة الصنوبرية ب(استخدام الدماغ بشكل ضعيف) فهي مسئولة عن افراز الميلاتونين (هرمون النوم) وكما شرحت سابقًا يلحق الفلورايد المناطق العالية بالكالسيوم فقط ولا يذهب للأنسجة لذا لن يتكلس بالغدة الصنوبرية ولا أي غدة وعضو آخر
أما DMT ذاته فهو اختصار dimethyltryptamine وهو دواء هلوسة يستخرج من نوع من الفطر ويعطي شعور انفصال عن الواقع، ارتفاع بالنبض، دوخة، توسع في حدقة العين، ارتفاع ضغط الدم، ألم في الصدر، صداع، عدم تحكم في العضلات، ارتباك وتشوش. الأعراض قد تستمر لأيام. وهو ممنوع في كذا دولة
إشاعة تسبب الفلورايد بالأورام غير صحيحة ❌ وتم دحضها واثبات عدم وجود أي علاقة عدى قصة واحدة حاولت رفع قضية لمكسب مادي على تسبب الفلورايد بورم الosteosarcoma وربطه بدراسة ضعيفة لا يعتد بها علميًا انها سبب للأولاد دون البنات ورفضت
إشاعة تسبب الفلورايد بالتشوهات الخلقية غير صحيحة ❌ لا تأثير للفلورايد (بنسبته الحالية في المياه) على التغييرات الجينية للمواليد ولا الحامل ولا تأثير لها على النمو ولا الكروموسومات ولا تغيير مكان الجينات للجنين
هنا نصل لنهاية الثريد
-
وخلاصة الخلاصة:
الفلورايد غير مضر بطريقته الصحيحة كما ننصح به
الفلورايد موجود معنا في الطبيعة منذ خلقت الأرض ليس مادة كيميائية حديثة كما يروّج المدعون
الضرر يكمن في الاستخدام الخاطيء والزيادة عن الحد
الفلورايد يحمي من التسوس وهذا مثبت بدراسات لا يمكن دحضها بأي شكل مهما حاول ناشري الإشاعات
المقارنة بين الدول لا تصح لاختلاف الجو ونسب التسوس والحاجة للفلورايد فالاستخدام يعتمد على الحاجة
احموا اسنانكم وصحتكم، خذوا المعلومة من المختصين، وتأكدوا دائمًا أن الأطباء والأخصائيين في صفكم لسنا اعداء، نحن في خدمة صحة المجتمع
ارجو من الجميع الحذر من الإشاعات المضللة صحتكم أهم وأغلى من حسابات وهمية
لا ننسى:
فرشاة + معجون + خيط أسنان + غذاء صحي + زيارة العيادة للكشف حتى دون ألم كل ٦ اشهر لعمل تنظيف وتطبيق الفلورايد (مجاني في الحكومي ومشمول في التأمين)
دمتم بابتسامة✨?
في نهاية الثريد، لمعرفة مدى معرفة المجتمع عن الفلورايد والحاجة لعمل المزيد. كم نسبة معرفتك سابقًا للمعلومات المذكورة؟
هل من اقتراح لشرح معلومة باسهاب اكثر؟

جاري تحميل الاقتراحات...