🌿| د. مي المحارب
🌿| د. مي المحارب

@maymuhareb

26 تغريدة 102 قراءة Oct 28, 2019
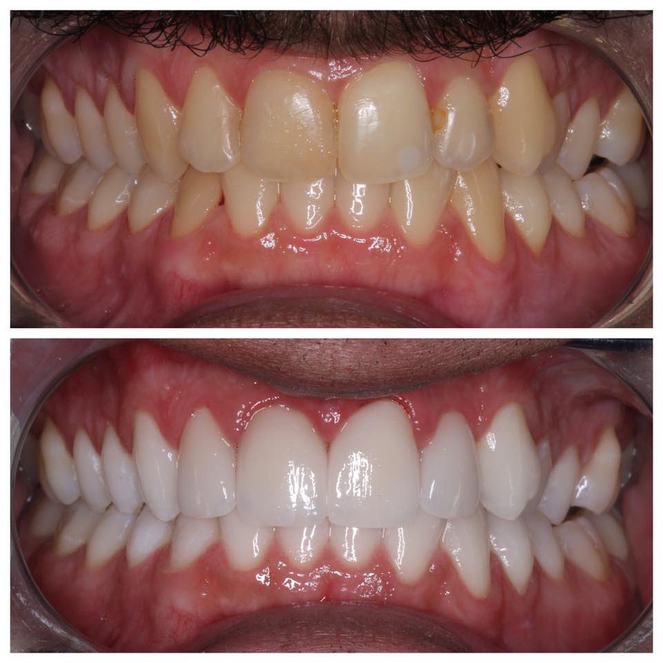
يوجد كثير من الأسئلة حول منتجات تبييض الأسنان المنزلية واسئلة حول تبييضها بالعيادة والتوقعات والمضاعفات الجانبية والعناية معها. لذا هنا ثريد كامل بشرح واضح يجيب على جميع الأسئلة التي وردتني هنا وفي العيادة والدايركت دائمًا مفتوح لأسئلتكم?✨
أولًا
تصبغات الأسنان تنقسم إلى نوعين:
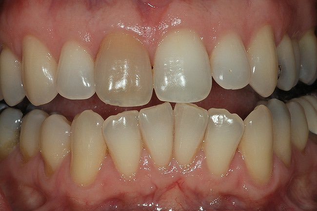
1. تصبغات خارجية: قهوة، شاي، تدخين،..
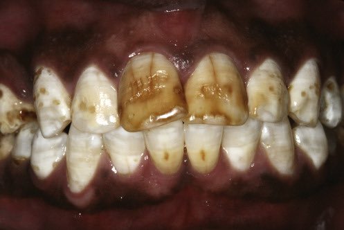
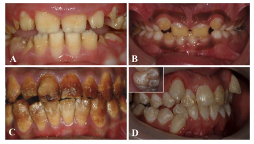
2. تصبغات داخلية: من تكوين السن مثل تناول المضادات الحيوية اثناء الحمل (تيتراسايكلين)، إصابات، حالة ال(fluorosis)، تشوهات خلقية amelogenesis imperfecta (الصورة الثانية)،..
يختلف العلاج بناء على السبب، التصبغات الداخلية علاجها مختلف تمامًا ولون التصبغات قد يكون رمادي، اخضر، مائل للزرقة، أو بني، برتقالي، اصفر، متدرج
-
بمعنى هناك تبييض داخلي وهناك تبييض خارجي. وهناك حالات يفيد معها التبييض وهناك تصبغات لا تتغير بالتبييض لذلك يلزم الفحص والتشخيص
الثريد سيكون فقط عن التصبغات الخارجية؛
أولًا يلزم عمل موعد تنظيف أسنان، قرار التبييض يكون بعد ذلك
-
لماذا؟
طبقة البلاك والتصبغات والجير تنتج طبقة صفراء وقد يقتنع الشخص بلون اسنانه الطبيعية دون الحاجة لعمل جلسة تبييض بعد إزالة البلاك والجير
(لاحظوا تغير اللون الاسنان بالفيديو)
التبييض الآمن نوعان: في العيادة أو قوالب منزلية
الفرق يكمن في النسبة، الوقت، عدد الجلسات، نسبة الحساسية
-
هل النتيجة تختلف؟ النتيجة في كلاهما لا يمكن ضمانها ١٠٠٪ تختلف من شخص لآخر وحسب الشركة المستخدمة بعضها قد تعطي (توقع) ٦-٨ درجات افتح
? + ⏰ + ٪
تتصبغ الأسنان بفعل مواد تدعى كروموجين، ومادة التبييض هي الهيدروجين بيروكسايد، او الكاربامايد بيروكاسايد الذي يتكسر عند اتصاله بالماء ليعطي هيدروجين بيروكاسيد؛ مهمتها هي تفاعل كيميائي يعمل على اكسدة روابط الكروموجين الثنائية فتعطي لونًا افتح.
-
او مادة صوديوم هايبوكلوريت.
المضاعفات الجانبية للتبييض هي الحساسية المؤقتة التي تبدأ من وقت التبييض وحتى أيام قلية بعده وإيذاء اللثة في حالة عدم عزلها تمامًا مثل لصقات التبييض. تعزل اللثة تمامًا في جلسة تبييض العيادة.
-
الفيديو يوضح كيف تُعزل اللثة قبل وضح مادة التبييض، إزالته سهلة جدًا ولا تضر اللثة.
غسولات الفم المحتوية على هيدروجين بيروكسايد، تحتاج لمدة ٣ اشهر من الاستخدام مرتين يوميًا لمدة دقيقة كاملة لتعطي تغيير ١-٢ درجة افتح ويوجد أيضًا تعريض لأنسجة الفم للإيذاء من الإستخدام المتكرر مرتين يوميًا لمدة طويلة جدًا
معجون الأسنان المحتوي على كلمة تبييض ينقسم لعدة أنواع حسب التركيبة:
-
تمت الدراسات لمعظم الأنواع المشهورة بناء على التركيبة ومدى الخدش من الخشونة ودرجة التغيير وأكسدة روابط الكروموجين ثم مراجعة ذلك بعد ٧ أيام على سطح الأسنان
??
سيليكا ❌ او سيليكا هيدروجينية ✅والفرق بين الاثنين هو الكتلة الجزيئية للمادة، يعني أن الأولى خادشة أكثر أما الثانية فمخففة. السيليكا أهميتها في إزالة البلاك من سطح الأسنان ولا نحتاج لخشونة شديدة. الخشونة تزيد من التصاق التصبغات مستقبلًا لتخشينها سطح الأسنان.
وهذا بمعظم الأنواع
منها ما يحتوي على هيدروجين بيروكسايد مثل كولجيت اوبتيك وايت
-
كانت النتيجة بوجود إزالة للتصبغات قد تكون بسبب الخشونة أيضًا ومايسمى ب chemo-mechanical model أي وجود الاثنين قوة كيميائية وميكانيكية وكانت التوصية بعدم استخدامه دون وصف ودون حاجة ولا يوميًا نهائيًا
ومنها مايحتوي على مادة بلو كوڤارين الزرقاء تعطي إيهام ابيض بعكسها للون الأصفر (لا تزال تحت الدراسة لتثبت فاعليتها الحقيقية بعكسها للون وثباتها) مثل كلوز أب دياموند
لصقات الأسنان مثل كريست تحتوي على هيدروجين بيروكسايد لكن بنسب ضعيفة تتراوح بين ٣-١٤٪ وتستخدم لمدة ٣٠ دقيقة تقريبًا ١٤ يوم وتعطي ١-٢ درجة افتح. المشكلة معها عدم حماية اللثة وقد تعطي تأثير ضار عليها.
القوالب المنزلية شركتين:
opalscence + zoom
لها نسب مختلفة غالبًا بين ٩.٥٪ إلى ٢٠٪ توصف في العيادة حسب الحاجة.
-
تؤخذ بصمة الأسنان ويصنع قالب في المعمل.
-
وتستخدم لمدة اسبوعين تتراوح مدتها بين ١٥ دقيقة إلى ٦ ساعات يوميًا. وتعطي ٦-٨ درجات افتح تقريبًا
تبييض العيادة؛ حسب الشركة؛ المدة حسب الحاجة ونسبة ١٥-٤٠٪ هيدروجين بيروكسايد أو ٣٠-٣٧٪ كاربامايد بيروكسايد؛ المدة من ٣٠ دقيقة إلى ساعة
عزل اللثة ثم وضع الجل. نسبة الحساسية أعلى مع تبييض العيادة عادة لأن النسبة تعتبر أعلى. تعطي ٦-٨ درجات افتح
-
فيديو لاستخدام نوع منهم (متقاربين)
نقاط مهمة?
-
لا ينصح باستخدام أي نوع تبييض قبل عمل فحص بالعيادة والتأكد من عدم وجود تسوسات
-
عمل موعد تنظيف أولًا والتأكد من صحة اللثة وجاهزية الأسنان للتبييض
-
الاستشارة في العيادة لنوع التبييض المناسب لك
نقاط مهمة?
-
تويتر ليس مكان مناسب للاستشارات الطبية هو مجرد مكان للتوعية والفائدة أما الاستشارة الطبية المخصصة لك فتكون في العيادة بعد الفحص
-
سقف التوقعات للتبييض يجب أن يكون واقعي ومن أحد موانع التبييض هو المراجع ذو التوقعات العالية
النتائج تختلف من شخص لآخر
نقاط مهمة?
-
في حال كانت النتيجة رائعة، كيف تحافظ عليها أطول وقت ممكن؟
١. لا يمنع الشخص من شرب القهوة والشاي أبدًا لكن يفضل التخفيف للحفاظ على النتيجة أطول فترة ممكنة
٢. العناية الصحيحة بالفرشاة والمعجون وخيط الأسنان
٣. موعد تنظيف اسنان كل ٦ اشهر لإزالة الجير والتصبغات
٤. ?
كشعب خليجي /عربي من مسببات التصبغات ليست شرب القهوة من دون مصاص بل القهوة العربية/ والتركية والشاي والكرك ومصبغات الأطعمة. جميعها من الصعب قطعها أو التحكم بها فغير منطقي أن اطلب من شخص تغيير تكوين حياته تمامًا هذا لن يحدث. استمتعوا بالقهوة والشاي والطعام بالعافية
عندي لكم الحل??
أولًا: التخفيف مهم جدًا. يعني شرب كميات كثيرة جدًا من القهوة والشاي يمنع المحافظة على اللون
ثانيًا: العناية الجيدة✅ لا تترك التصبغات فترة طويلة على الأسنان
ثالثًا: في حال كنت خارج المنزل، العلكة الخالية من السكر تفيد قليلًا
رابعًا: حافظ على مواعيد تنظيف الأسنان بالعيادة
خامسًا: يجب أن نقتنع أن تبييض الأسنان لا يستمر إلى الأبد، ويلزم تكراره بعد سنة تقريبًا في حال رغبت بالنتيجة الأولى بعد الموعد. المصبغات توجد حتى في الأطعمة حتى لو تجنبت جميع أنواع القهوة والمشروبات. لا مفر. لا تحرم نفسك. عناية جيدة وتخفيف فقط. الحرمان لم ولن يكن صديقنا❌
نقاط مهمة?
-
لا يفضل استخدام القوالب المنزلية بشكل دائم بل يستخدم الكورس لمدة اسبوعين فقط ويعاد تكراره بعد الفحص بالعيادة مرة أخرى بعد ٦-١٢ شهر
-
لا يفضل مشاركة قالب التبييض مع أي احد حيث يفصل على حجم وشكل اسنانك ليحمي اللثة وليعطي نتيجة مناسبة ويوزع الجل تمامًا على كامل السن
نقاط مهمة?
-
استخدام المواد الخشنة لن يقوم بتبييض اسنانك على العكس تمامًا، الطبقة الثانية من السن (العاج) طبقة صفراء اللون وعند تآكل طبقة الميناء الخارجية وهي طبقة شبة شفافة ثلجية ستظهر الطبقة الصفراء
اخيرًا
اسنانك خلقت لتعيش معك دائمًا، اعتنِ بها جيدًا بلطف.
تستخدمون تبييض قوالب منزلية صُرف لكم من العيادة لكن تحسست اللثة أو آلمتكم؟ ?
واحد من اثنين:
١. كثرتوا الجل المبيض فطلعت كمية كثيرة على اللثة. يفترض توضع فقط كمية مثل القطرة لكل سن في القالب حتى لا تصل على اللثة
٢. عندكم حساسية لمادة التبييض نفسها
طريقة استخدام قوالب التبييض المنزلية:
(عدد الأسنان يختلف عادة نفضل وضع الجل على الأسنان الظاهرة فقط لا كل الأسنان مثلًا الخلفية جدًا لا داعي لتعريضها للجل دون حاجة) الأسطح الداخلية والماضغة لا يوضع عليها الجل. فقط الخارجية. الكمية حجم حبة العدس. ونزيل أي زوائد على اللثة.

جاري تحميل الاقتراحات...