روان الحازمي| Rawan Alhazmi
روان الحازمي| Rawan Alhazmi

@Rawan_lab

19 تغريدة 69 قراءة Oct 20, 2019
بسم الله، معلومات اليوم حتكون ان شاء الله عن الملاريا ?
- ايش هي الملاريا وكيف تتنقل؟ ??‍♀️
-اعراضها وانواعها✨
- فديو شامل ?
- الاختبارات الي نسويها ف اللاب ??
الملاريا هو مرض سببو طفيلي ال Plasmodium بأنواعها الخمسه ??✨
1-P. falciparum اشهر وحده وتسمى كمان ب الملاريا الخبيثه لانها multiples rapidly
2-P. malariae
3-P. vivax
4-P. ovale
5-P. knowlesi
كيف تتنقل؟ عن طريق الinfected female mosquito (Anopheles) تنقلها لنا as infected stage : Sporozoites??✨
الاعراض؟ يجي ببالنا على طول درجة الحراره العاليه? ومن نوع لنوع تختلف مدة الارتفاع والتكرار بحيث ترتفع درجة الحراره وتنزل ⬆️⬇️
فديو خفيف نشوف فيه من اول م تدخل للشخص عن طريق الAnopheles الين م ترجع تاخذها Anopheles تانيه وهكذا ??
youtu.be
الاختبارات الي نسويها ف اللاب?✨
- Rapid Diagnostic Test (RDT)
- Thin and thick blood smear
لا ننسى العينه تجينا ف تيوب EDTA لاننا حنحتاج ال whole blood طبعًا لان الملاريا تقعد جوت ال RBCs، او ممكن ناخذها دايركت من الfingertip ??✨
RDT ?
- هو اختبار سريع م ياخذ مننا غير ٢٠ دقيقه بس، من خلالو نعرف هل الشخص مصاب بfalciparum والا احد الانواع التانيه ?
- ايش المبدأ حقو؟
- Immuno-chromatographic test، يعني Ag-Ab reaction
حتكلم عن هالكت لاني اشتغلت عليها ?✨
- يستخدم فيه monoclonal Ab عشان يشبك مع الpLDH (parasite lactate dehydrogenase) هو انزيم يفرز من ال sexual and asexual form of the parasite، الي يميزو انو ماراح يصير cross reaction مع ال LDH حقنا عشان كدا يكون هالاختبار specific??
طريقة الاختبار ف الصوره??✨
لازم لازم اذا كانت النتيجه + او- يطلع لنا خط عند الcontrol والا حتكون الكت invalid ??‍♀️
diagnostics-bio-rad.com
وللي حاب يقرأ اكتر يشوف الpamphlet هنا✨
يعني اذا الشخص مصاب لازم يطلع + ؟ لا مو شرط احيان نادره ممكن يطلع - والشخص يكون من جد مصاب عشان كدا اذا كان فيه اعراض الملاريا ممكن نروح للمريض بنفسنا وناخذ من الfingertips.
اوك طلع + ف ال RDT شنسوي؟ نسوي
Thick and thin blood smear ?✨
فايدة الThick عشان نشوف فيه ملاريا والا
وفايدة الThin عشان نشوف النوع والstage??
تعرفوا تسووا smear والا ?
اذا لا ركزوا ع كم شيء :
-كمية الدم الي بتحطوها ف السلايد م تكون قليييل ولا كتير
-السرعه مو مرا سريعين والا مرا بطيئين
-الزاويه ٤٥
- spreader الي بتستخدموه ??✨
دا الsmear الي فخوره فيه سويته ايام الجامعه ???
طيب بإيش نصبغ السلايد ؟
-Giemsa stain
-Wright (Wright-Giemsa) stain
للي حاب يقرأ اكتر يشوف هالملف ?✨
cdc.gov
طبعًا بعد كل دا نشوفها تحت الmicroscope?✨
ونحاول نربط الاشكال عشان نفرق، صعب شويه نتقنها ع طول لكن مع التدريب والتدريب حنصير كلنا فنانين ?✨
شكرًا ل @GENE_LIFE_ ع الصوره?♥️
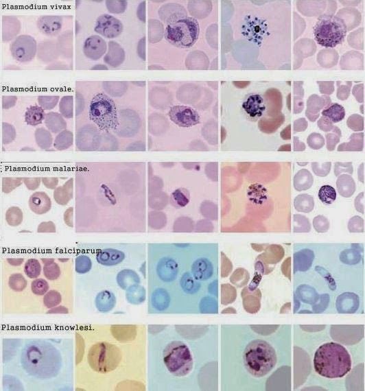
الاشكال كتير والstage كتير لكن نشوف صور ممكن توضح لنا ??✨
وللي حاب اكتر يشوف خان اكاديمي هنا khanacademy.org ♥️
و صحبتنا @Hayokam12 حبّت تشاركنا هالصوره ، ايش رايكم ايش النوع وال stage ؟ ?
اخر شيء فديو فنان تحسّو بعدو انكم دركتو الملاريا خلاص، شوفوه واستمتعوا ?✨
youtu.be
نسيت اقلكم انو فيه مرجع لل parasitology فادني ايام الدراسه حقيقي فنان ♥️♥️، م اعرف فين ممكن تلاقوه لاني ايامها اخذته من مكتبة الجامعه??‍♀️

جاري تحميل الاقتراحات...