كوثر فارس ¦ Kouther Faris
كوثر فارس ¦ Kouther Faris

@Koutherfaris

17 تغريدة 8 قراءة Jul 02, 2021
مساء الخير جميعاً اليوم راح نتكلم عن انيميا خلايا الدم المنجلية ونغطيها من جميع النواحي (تعريف بطبيعه المرض،اسبابه، احصائياته في السعودية، التحاليل الي يتم اجراءها للكشف عن الاصابه بهذا المرض الوراثي) ✨
ايش هي الانيميا المنجلية ؟ 🤔
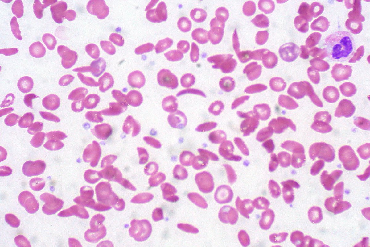
هو مرض وراثي متنحي (اي يجب على كلا الابوين ان يكونان حاملين او مصابين بالمرض) ينتج فيه الجسم خلايا دم حمراء غير طبيعية الشكل مثل الهلال بسبب انتاج هيموجلوبين غير طبيعي وهو
( Hb S)
المصاب بمرض خلايا الدم المنجلية راح ينتج جسمه الهيموجلوبين بالصوره الاتيه
Hb (s/s)
وحامل المرض (يمتلك الجين ولكنه لا يظهر الاعراض)
Hb (A/S)
عوامل الخطورة المؤدية لوراثة المرض تتمثل في :
كون كل من الام والاب حاملين للمرض.
كون كل من الام والاب مصابين.
احدهما مصاب والاخر حامل للمرض.
تعيش خلايا الدم الحمراء الطبيعية ١٢٠ يوم، ولكن الخلايا المنجلية تستمر فقط بين ١٠-٢٠ يوم.
اعراضه تشمل:
📍شحوب البشرة
📍التعب والارهاق
📍آلام شديدة
📍مشاكل في الرؤية
📍تورم مؤلم للقدمين واليدين
📍نوبات ألم مزمنه
📍تأخر النمو
📍مشاكل في القلب والرئة
📍تكرار الاصابة بالعدوى البكتيرية
المضاعفات:
📍السكتة الدماغية
📍متلازمة الصدر الحادة التي تسبب ألما في الصدر وحمى وصعوبة في التنفس.
📍ارتفاع ضغط الدم في الرئتين
📍تلف الأعضاء مثل الكلى والكبد والطحال.
📍العمى
📍قرحة الساق
📍حصى المرارة
التحليل المخبري الاول للكشف عن المرض يكون بشكل مبسط
بإضافه دم المريض بمقدار معين مع محلول يقوم بتكسير خلايا الدم الحمراء واطلاق محتواها من الهيموجلوبين، الهيموجلوبين الطبيعي HB A يذوب تماماً في المحلول ونلاقي السائل الموجود في الانبوب شفاف🔍
....
بينما الهيموجلوبين الممرض HB S يكون غير ذائب في هذا المحلول مما يتسبب بمظهر مغبش او turbid
نحط انبوب الكنترول وانبوب المريض امام كارد يحتوي خطوط بمسافه معينه في حال كانت الخطوط واضحة معناتها انه العينه سليمة واذا كانت غير واضحة معناتها العينه تعود لمريض مصاب او حامل للمرض🙄
للتاكد ممكن نعيد التحليل وكمان نعمل سنترفيوج للعينه المصابه في حال تكون
Red ring at the top
معناته فعلاً العينه فيها هيموجلوبين S
واخو خطوه للتاكد من كون المريض سواءً مصاب او حامل للمرض نعمل تحليل PCR 📊
بحثت عن احصائيات الاصابه بهذا للمرض في السعودية والنتيجه كانت مثيره للاهتمام، بالرغم انه المرض يعتبر نادر ولكنه ليس بتلك الندره في السعودية بالذات مع حالات زواج الاقارب 🙂🤦🏽‍♀️
وتكثر الاصابه في المنطقة الشرقية والمنطقه الجنوبية الغربية 🙄
ncbi.nlm.nih.gov
اذا كنت مصاب بالأنيميا المنجلية انك تكثر من السوائل واتباع الحمية الصحية وعدم التعرض للأجواء شديدة الحرارة او شديدة البرودة، تجنب الاماكن المرتفع مثل الطائرات والجبال، واحرص على توفير اكسجين كافي اثناء الرياضه او لو اضطريت تتواجد في منطقة جبلية ☝🏼✨
بالنسبه للعلاج ؟ مافي علاج نهائي ولكن فيه ادوية تساعد على منع مضاعفات المرض وتحسين من جودة الحياة بالنسبه للمريض زي :
📍ادوية مخففة للالم
📍حمض الفوليك
📍التطعيم والمضادات الحيويه للوقايه من العدوى(وليس من المرض نفسه)
📍نقل الدم او الجراحه في الحالات الشديدة
بالنسبه للوقايه من المرض ؟ تحاليل قبل الزواج جداً مهمه والي حامل للمرض لازم يروح لمستشار جيني قبل اتخاذ قرار الانجاب.
وبس والله نختم هذا الثريد بهذا القدر من المعلومات ان شاء الله تكونون استفدتم 🙏🏼✨

جاري تحميل الاقتراحات...