thread عن الصداع
معلومات خليط بين الpop science لاي حد وبين معلومات تقنية جدا لطلبة طب
معلومات خليط بين الpop science لاي حد وبين معلومات تقنية جدا لطلبة طب
1- الصداع شكوي مهمة وشائعة جدا ، دي رابع اهم شكوي في اي استقبال لاي مستشفي ، 75% من الناس بيشتكوا من الصداع ع الاقل مرة واحدة في السنة لكن اغلبهم مبيروحش مسشتفي او عيادة عشان بيشوف انه حاجة عادية، ودة صحيح ، بس الصداع ممكن يبقي وراه كارثة، صدقني انت مش هتحب خالص انك تتعامل معاها
2 - الصداع له اسباب كتيرة جدا ومتعلقة باعضاء مختلفة ، تقريبا كدة كل جسمك ممكن يخليك تصدع ، بس كطبيب طوارئ ميهمنيش اني اوصل لسبب الصداع بقدر ما يهمني اني استبعد الاسباب الخطيرة له
ومن ثم عقيدتك لما حد يشتكيلك بصداع انك تفرق اذا كان emergency ولا outpatient وياخد برشامة وخلاص
ومن ثم عقيدتك لما حد يشتكيلك بصداع انك تفرق اذا كان emergency ولا outpatient وياخد برشامة وخلاص
3 - في تقسيمات كتيرة للصداع زي انهprimary وsecondary
بس انا احب اقول الاسباب الخطيرة للصداع احسن لاننا لو اسبتعدناهم هتلاقي الmangament متشابه في الباقي (اقراص باراساتمول)
بس انا احب اقول الاسباب الخطيرة للصداع احسن لاننا لو اسبتعدناهم هتلاقي الmangament متشابه في الباقي (اقراص باراساتمول)
4 - emergency causes of headache:
- epidural hge
- subdural hge
-subarachnoid hge
-intra-cerebral hge
-meninigitis
-encephalitis
- brainstem stroke
- venous sinus thrombosis
- hypertensive encephalopthy
- epidural hge
- subdural hge
-subarachnoid hge
-intra-cerebral hge
-meninigitis
-encephalitis
- brainstem stroke
- venous sinus thrombosis
- hypertensive encephalopthy
5 - طيب يا جماعة انتو في اوض الطوارئ دلوقتي وفي راجل داخل علينا اهو بيقول" صدااااااع" هنعمله ايه ؟
history- examination- investigation...اهم حاجة الهيستوري
اول سؤال لازم يتسأل لما تشوف عيان مصدع هو " الصداع بدا من امتي"
بالنسبة لدكاترة النيورو السؤال دة لوحده يفرق الطوارئ من غير
history- examination- investigation...اهم حاجة الهيستوري
اول سؤال لازم يتسأل لما تشوف عيان مصدع هو " الصداع بدا من امتي"
بالنسبة لدكاترة النيورو السؤال دة لوحده يفرق الطوارئ من غير
6-صداع بدا انهاردة تفرق خالص عن صداع غبي بقاله اسابيع.
صداع بقاله اسابيع دة مش مشكلة ع الاطلاق ، اي صداع بيروح وبيجي بقاله من 3 اسابيع لشهر بيبقي مجرد tension headache يعني صداع عصبي،لكن صداع onset انهاردة دي مشكلة..
لازم تساله"في familiar episodes قبل كدة" لو لا يبقي طوارئ طبعا
صداع بقاله اسابيع دة مش مشكلة ع الاطلاق ، اي صداع بيروح وبيجي بقاله من 3 اسابيع لشهر بيبقي مجرد tension headache يعني صداع عصبي،لكن صداع onset انهاردة دي مشكلة..
لازم تساله"في familiar episodes قبل كدة" لو لا يبقي طوارئ طبعا
7-red flags في الصداع، اي حد مصدع وعنده واحد بس منهم لازم ينزل مستشفي فورا
- sudden onset of headache بدا فجأة
-worst headache ever رعد جوا دماغك
- lateralizing sign ضعف او تنميل في نص جسمك
- fever-vomiting - blurred vision سخونة وترجيع وزغللة
-headache after 50 صداع بعد ال50
- sudden onset of headache بدا فجأة
-worst headache ever رعد جوا دماغك
- lateralizing sign ضعف او تنميل في نص جسمك
- fever-vomiting - blurred vision سخونة وترجيع وزغللة
-headache after 50 صداع بعد ال50
8 - بأكد تاني ان اي sudden headache له احترامه ومش بالضرورة قوته ممكن يطلع نزيف في الاخر
لازم فحص نيورو محترم عشان مش شرط الneurological defecit ييجي العيان يشتكي بيه ، صداع الemergemcy بيبقي غبي لدرجة انه مش هيعرف يركز في اي حاجة تانية
لازم فحص نيورو محترم عشان مش شرط الneurological defecit ييجي العيان يشتكي بيه ، صداع الemergemcy بيبقي غبي لدرجة انه مش هيعرف يركز في اي حاجة تانية
9 - السؤال التاني" الصداع بيزيد في اي وقت من اليوم؟"
من اول ما تفوق من النوم وانت مصدع،انت محتاح تشوف دكتور..غالبا ضغطك عالي اوصداع عنقودي او لا قدر الله ورم
صداع بيزيد في اخر اليوم،دة غالبا tension الصداع العصبي،نام وارتاح وبطل تفكير ، انا عارف ان مستقبل مصر هامك، بس الاهم صحتك
من اول ما تفوق من النوم وانت مصدع،انت محتاح تشوف دكتور..غالبا ضغطك عالي اوصداع عنقودي او لا قدر الله ورم
صداع بيزيد في اخر اليوم،دة غالبا tension الصداع العصبي،نام وارتاح وبطل تفكير ، انا عارف ان مستقبل مصر هامك، بس الاهم صحتك
10- السؤال التالت وهو شبهه شوية " ايه اللي بيزود الصداع دة وايه اللي بيقلله؟"
صداع بيقل بانك تقعد لوحدك في الضلمة والصوت والنور بيزوده ده صداع نصفي
صداع بيزيد بانك تكح/تعطس/تحزء valsalva manuever معناها مشكلة في ضغط الcsfجوا مخك زي صداع الIIH
صداع بيقل بانك تقعد لوحدك في الضلمة والصوت والنور بيزوده ده صداع نصفي
صداع بيزيد بانك تكح/تعطس/تحزء valsalva manuever معناها مشكلة في ضغط الcsfجوا مخك زي صداع الIIH
12 - "الصداع عامل ازاي؟"
صداع النقح او النبض بيبقي مشكلة الالم مصدره جدار الشريان اللي يبنبض دة ، فغالبا هيبقي الضغط عالي او صداع نصفي
ام الصداع اللي عامل زي الحزام اللي محوط الراس فدة نوع الصداع العصبي
صداع النقح او النبض بيبقي مشكلة الالم مصدره جدار الشريان اللي يبنبض دة ، فغالبا هيبقي الضغط عالي او صداع نصفي
ام الصداع اللي عامل زي الحزام اللي محوط الراس فدة نوع الصداع العصبي
13- "الصداع فين بالظبط؟"
صداع الجيوب الانفية بيكون في الجبهة وبيزيد لما تميل لقدام(وانت بتسجد)
صداع العين بيكون حولين الجفن او في عمق العين وبيزيد بليل
صداع مشاكل عضلات الرقبة والغضروف بيبقي occiptal وهتلاقي عضلات رقبته tender
صداع الجيوب الانفية بيكون في الجبهة وبيزيد لما تميل لقدام(وانت بتسجد)
صداع العين بيكون حولين الجفن او في عمق العين وبيزيد بليل
صداع مشاكل عضلات الرقبة والغضروف بيبقي occiptal وهتلاقي عضلات رقبته tender
14 - " بتتعالج من اي مرض تاني؟ بتاخد اي علاجات؟"
في ادوية ممكن تخليك تصدع زي حباية النيتروجلسرين مثلا او حبوب منع الحمل
لازم تسال علي شربه للقهوة او السجاير ، لان الاقلاع يوم واحد بس عن الكافيين او النيكوتين وهو متعود عليه كفيل انه يفرتك دماغه من الصداع
في ادوية ممكن تخليك تصدع زي حباية النيتروجلسرين مثلا او حبوب منع الحمل
لازم تسال علي شربه للقهوة او السجاير ، لان الاقلاع يوم واحد بس عن الكافيين او النيكوتين وهو متعود عليه كفيل انه يفرتك دماغه من الصداع
15 - ولازم تتاكد ان عنده صداع بس ، يعني مفيش ترجيع او زغللة في العين او سخونة او قصور عصبي تاني او تشنجات (كل الحاجات دي يبقي دة عيان طوارئ)
اسال بردة علي اعراض صداع الoutpatient زي رشح او مشاكل في العين
اسال بردة علي اعراض صداع الoutpatient زي رشح او مشاكل في العين
16 - من الحاجات اللي دايما بتتنسي " انت اتخبطت علي دماغك؟"
لاننا بنشوفها كومن سينس انه هو اللي يقولها ويربطها بالصداع
صداع الsubdural hge ممكن يبدا بعد اسبوع او اتنين من الخبطة ، في الاسبوعين دول هو بينزف وماشي ولا علي باله
لاننا بنشوفها كومن سينس انه هو اللي يقولها ويربطها بالصداع
صداع الsubdural hge ممكن يبدا بعد اسبوع او اتنين من الخبطة ، في الاسبوعين دول هو بينزف وماشي ولا علي باله
انا فاكر في مرة حالة كانت جاية ووعيها متاثر وبعد ما لفينا في الهيستوري سالته هي اتخبطت قالي اه بس دي من 10 ايام ، فلاقاني مهتم بالتفصيلة علي صوته" يعم بقولك من 10 ايام"..عملنا مقطعية بان فيها subdural وست دخلت عمليات فورا ، الراجل ماشي بيضرب كف علي كف وفاكرنا بنعمل مقلب فيه!!
في الexamination يهمني انك متلاقيش lateralizing sign علي مستوي الpupil - eye movements - facial -ms weakness or numbness
ومفيش neck rigidity اوطفح علي جلده بتاع الmenigtits او فوتوفوبيا
لو في علامات تشكك ، اعمل brudzinski وkernig
ومفيش neck rigidity اوطفح علي جلده بتاع الmenigtits او فوتوفوبيا
لو في علامات تشكك ، اعمل brudzinski وkernig
كلمة عن الneck rigidty
مبتلاقيهاش في اغلب الحالات وبتظهر very late in the disease فمتعولش عليها امال كبيرة...لما تلاقيها اعرف ان حالة الالتهاب السحائي دة وقع
ميزتها انها ساعات بتحصل بدري في الsubarachnoid ، لكن بدري في قلة من الحالات
مبتلاقيهاش في اغلب الحالات وبتظهر very late in the disease فمتعولش عليها امال كبيرة...لما تلاقيها اعرف ان حالة الالتهاب السحائي دة وقع
ميزتها انها ساعات بتحصل بدري في الsubarachnoid ، لكن بدري في قلة من الحالات
فحص قاع العين مهم جدا في حالة الصداع وانك تفكسله عبارة عن اهمال واضح
ممكن يبينلك pappilledma لو هو tumor او IIH
او subhyaloid hge في الSAH
وهيبنلك الhypertensive encephalopthy
ممكن يبينلك pappilledma لو هو tumor او IIH
او subhyaloid hge في الSAH
وهيبنلك الhypertensive encephalopthy
سؤال البرنامج
لو في حاجة مزودة ضغط المخ (ورم مثلا) ايه اول عصب بيتاثر يا شباب؟
لو في حاجة مزودة ضغط المخ (ورم مثلا) ايه اول عصب بيتاثر يا شباب؟
17-هنمسك اسباب الصداع المهمة واحد واحد
الepidural والsubdural hge سببهم خبطة او غالبا حادثة فدة عيان واضح
الintra-cerebral سببه ضغط عالي(هتلافي فوق ال200) مشهور في الbasal ganglia وهتلاقي معاه ضعف او تنميل نص الجسم
وال3 اي اعمي بيشوفهم في الاشعة
الصياعة كلها فيsubarachnoid
الepidural والsubdural hge سببهم خبطة او غالبا حادثة فدة عيان واضح
الintra-cerebral سببه ضغط عالي(هتلافي فوق ال200) مشهور في الbasal ganglia وهتلاقي معاه ضعف او تنميل نص الجسم
وال3 اي اعمي بيشوفهم في الاشعة
الصياعة كلها فيsubarachnoid
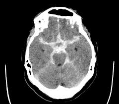
18 - الsubarachnoid hge صعب من حيث تشك فيه امتي وصعب تشوفه في الاشعة..
دة عبارة عن واحد مولود بتمدد شرياني وهيجي في يوم وهتفرقع وساعتها هيشتكي من صداااااااع غبي مش هيقدر يستحمله ، بنسميه the worst headache ever ، لازم توطي ضغطه بnimodpine وتدخل جراحي فورا ، والا هيموت
دة عبارة عن واحد مولود بتمدد شرياني وهيجي في يوم وهتفرقع وساعتها هيشتكي من صداااااااع غبي مش هيقدر يستحمله ، بنسميه the worst headache ever ، لازم توطي ضغطه بnimodpine وتدخل جراحي فورا ، والا هيموت
19- هل لازم يبقي صداع جامد جدا؟
مش بالضرورة ، انا شفت عيانين calm جدا واشتكوا من شوية صداع فقالوا يعدوا ع المستشفي بعد الشغل، ونلاقي دماغه في الاشعة عبارة عن نزيف وطلعله مخ
هل لازم يرجع او يحصلهlaterlaizing sign؟
مش بالضرورة، ممكن من اول المشكلة لحد ما يموت كان صداع بس
مش بالضرورة ، انا شفت عيانين calm جدا واشتكوا من شوية صداع فقالوا يعدوا ع المستشفي بعد الشغل، ونلاقي دماغه في الاشعة عبارة عن نزيف وطلعله مخ
هل لازم يرجع او يحصلهlaterlaizing sign؟
مش بالضرورة، ممكن من اول المشكلة لحد ما يموت كان صداع بس
20 - يعني ممكن اي حد مصدع صداع عادي يطلع نزيف في المخ في الاخر؟
الاجابة للاسف اه ،عشان كدة دة البعبع بتاع اي دكتور مخ واعصاب ،مرض ملوش كبير،ومش هتقدر تضمن ان الصداع الاهبل دة مش بسبب نزيف غير لما تعمله اشعة ،وطبعا مش هنعمل اشعة لاي حد بيصدع، فهيdischage وحاطط الريسك علي كف عفريت
الاجابة للاسف اه ،عشان كدة دة البعبع بتاع اي دكتور مخ واعصاب ،مرض ملوش كبير،ومش هتقدر تضمن ان الصداع الاهبل دة مش بسبب نزيف غير لما تعمله اشعة ،وطبعا مش هنعمل اشعة لاي حد بيصدع، فهيdischage وحاطط الريسك علي كف عفريت
21-طب خدوا المثال الصايع دة ،واحد جاله صداع جامد وعمال ينبض والنور مضايقه جدا ورجع مرة،هتعرف ازاي اذا كان نزيف ولا صداع نصفي(نفس الاعراض بالظبط)
نرجع لاول سؤال اللي قلت لازم نساله " بدا امتي وجالك familiar episodesقبل كدة ولا لا"
الmigraneبيتشخص لانه بيجيله الصداع دة اكتر من مرة
نرجع لاول سؤال اللي قلت لازم نساله " بدا امتي وجالك familiar episodesقبل كدة ولا لا"
الmigraneبيتشخص لانه بيجيله الصداع دة اكتر من مرة
22 - طب نفرض واحد متشخص انه migrane من سنين وفجأة نزف subarachnoid ..اختمال وارد طبعا ، هنفرق ازاي؟
هي كلمة مميزة العيان هيقولها" هو صداع شديد بس دة مش زي بتاع كل مرة ، نوبة انهاردة دي مختلفة"..لو احساسه بالصداع اتغير بس indication واضح انك تعمله مقطعية
هي كلمة مميزة العيان هيقولها" هو صداع شديد بس دة مش زي بتاع كل مرة ، نوبة انهاردة دي مختلفة"..لو احساسه بالصداع اتغير بس indication واضح انك تعمله مقطعية
23- طب افرض هو محسش بفرق؟
دة بياخد لقب"عيان نحس" مفيش حد هيقدر يشخص واحد عنده صداع نصفي متكرر ان صداع المرادي بسبب نزيف..ولا اتخن تخين هيجيبها
الا لووعيه اتاثر اوحصلlateralizing sign
بس المشكلةان الmigrane من شدته ممكن يعملك شلل نصفي مؤقت وساعتها هتقول دة بسبب الميجرين مش النزيف
دة بياخد لقب"عيان نحس" مفيش حد هيقدر يشخص واحد عنده صداع نصفي متكرر ان صداع المرادي بسبب نزيف..ولا اتخن تخين هيجيبها
الا لووعيه اتاثر اوحصلlateralizing sign
بس المشكلةان الmigrane من شدته ممكن يعملك شلل نصفي مؤقت وساعتها هتقول دة بسبب الميجرين مش النزيف
24 -دةانت حتي لو فكرت تعمله كشف قاع عين غالبا هيطلع سليم لان اثاره ع العصب البصري عملياتpassive بتحتاج وقت محترم، كان ساعتها العيان بقيglascow 3
كل ما تقرا عن الsubaracnoid او تتعامل هتكتشف قد ايه هو غبي
دة اللي موت حفيد حسني مبارك 2010، رغم انه سافر باريس في ساعات، بس مات بردة
كل ما تقرا عن الsubaracnoid او تتعامل هتكتشف قد ايه هو غبي
دة اللي موت حفيد حسني مبارك 2010، رغم انه سافر باريس في ساعات، بس مات بردة
27- في بقي نوع خبيث بتلاقي كل الcistern مفتوحة زلفل بس في الsulcus تحت بقي فيه خط ابيض ، او نقطة دم في قاع الlateral venrticles
لو مش عينيك في وسط راسك سهل جدا انك تmiss عيانSAH
لازم تتاكد ان كل الcisterns - ventricles والsulci مفتوحة وفيها csf اسود
لو مش عينيك في وسط راسك سهل جدا انك تmiss عيانSAH
لازم تتاكد ان كل الcisterns - ventricles والsulci مفتوحة وفيها csf اسود
28- ع الناحية التانية ، في ناس بتتلخبط بين calcification الdura وتقول عليه دة دم جوا الcistern
وناس اروش بتتلخبط بين الcalcification بتاع الchoriod plexus وتقول عليه دم جوا الventricles
انا قعدت شهور عشان اتقن منظر الsubarachnoid في الاشعة
وناس اروش بتتلخبط بين الcalcification بتاع الchoriod plexus وتقول عليه دم جوا الventricles
انا قعدت شهور عشان اتقن منظر الsubarachnoid في الاشعة
29- مشكلة الSAH انه لازم يتلقط وهو مصدع ، ولازم يدخل عمليات وهو صاحي ومصدع ، لو وعيه اتدهور ودخل في غيبوبة يبقي خلصت ، mortality rate 100% وهيarrest في اي لحظة..
التدهور بتاعه بيكون سريع جدا ، انا بنفسي شفت حالة وقعت من GCS15 ل 9 في اقل 45 دقيقة
التدهور بتاعه بيكون سريع جدا ، انا بنفسي شفت حالة وقعت من GCS15 ل 9 في اقل 45 دقيقة
30- لو جيت تسأل دكتور برا نطاق المستشفيات الجامعية الكبيرة عن الsah هيقولك دة نادر جدا ومبنشفوش
12.5% من حالات الmoderate to severe hadache بيطلع sah
هو مش نادر يا باشا ، انت بس قلت انه صداع عادي اوmigrane واديتله مسكن قوي وروحته، وهو مات في بيته بعدها بيومين من الhydrocephalus
12.5% من حالات الmoderate to severe hadache بيطلع sah
هو مش نادر يا باشا ، انت بس قلت انه صداع عادي اوmigrane واديتله مسكن قوي وروحته، وهو مات في بيته بعدها بيومين من الhydrocephalus
31-تعالو بقي لصداع الcns infection
صداع الencephalitis ضعيف عمري ما شفته isolated في عيان ودة اللي جابه المستشفي ، عيان الencephlaitis هيجي عشان بيتسنج او سلوكه اتغير ، ودة بيحصل بدري جدا (راجع ثريد التشنجات)
اما عيان الmeningitis فدة الصداع هيبهدله ، بس معاه حرارة وترجيع كمان
صداع الencephalitis ضعيف عمري ما شفته isolated في عيان ودة اللي جابه المستشفي ، عيان الencephlaitis هيجي عشان بيتسنج او سلوكه اتغير ، ودة بيحصل بدري جدا (راجع ثريد التشنجات)
اما عيان الmeningitis فدة الصداع هيبهدله ، بس معاه حرارة وترجيع كمان
32 - من الحاجت المميزة لصداع الالتهاب السحائي انهprogressive والtime course بتاعه اخره ايام قليلة وهيبتدي ياثر علي وعيه او يعمل focal neurological defecits واضحة
الcsf analysis العادي بيجيب الmeninigitis بسهولة خصوصا البكتيرية..عكس الencepahlitis اللي ممكن تبقي نورمال في الاول
الcsf analysis العادي بيجيب الmeninigitis بسهولة خصوصا البكتيرية..عكس الencepahlitis اللي ممكن تبقي نورمال في الاول
33 - في مرة ست حامل جت الاستقبال عشان اشتكت من صداع، دي شكوي عادية في الحمل فعشان كدة مخدناش الشكوي باهتمام ، وكون انها حامل مانعك تعملها ct، قلنا نعمل fundus، الست هاجت وماجت في دكتور الرمد وكتبلنا patient not cooperative
اهلها نفسهم مش عارفين يسيطروا عليها ، خدوا مسكن ومشيوا
اهلها نفسهم مش عارفين يسيطروا عليها ، خدوا مسكن ومشيوا
34- الست مكنتش قليلة الادب او بلطجية ، دكتور الرمد معرفش يعمل فحص قاع عين عشان الجهاز بيطلع نور والنور كان بيضايقها جدا
لما تحط photophobiaمع headache يطلعلك ايه؟ meningitis
والست دي كانت حامل كمان ، يعنيimmunocompromised ، فfulminant meningitis
ماتت في اقل من 24 ساعة بعدها
لما تحط photophobiaمع headache يطلعلك ايه؟ meningitis
والست دي كانت حامل كمان ، يعنيimmunocompromised ، فfulminant meningitis
ماتت في اقل من 24 ساعة بعدها
35- انا قلت انneck rigidtyمبتحصلش في كل الحالات وlate in diseade course...بس لو لاقيتها في الاول تلخبطك مع مين؟
neuroleptic malignant syndrome
الاتنين حراريتهم عالية الاتنين بيرجعوا الاتنين وعيهم بيتاثر الاتنين عندهم ms rigidity بشكل ما.
انت كل ما تتعمق في الموضوع بيزداد تفاصيل
neuroleptic malignant syndrome
الاتنين حراريتهم عالية الاتنين بيرجعوا الاتنين وعيهم بيتاثر الاتنين عندهم ms rigidity بشكل ما.
انت كل ما تتعمق في الموضوع بيزداد تفاصيل
36 - التفرقة بين الmeningitis والNMS مش سهلة زي ما تبان
يكفي اني اقولك ان في مرة المركز القومي للسموم حجزوا حالة meningitis علي انها NMS وطلعت الرعاية مع باقي عيانين السموم
يكفي اني اقولك ان في مرة المركز القومي للسموم حجزوا حالة meningitis علي انها NMS وطلعت الرعاية مع باقي عيانين السموم
37 - الbrainstem strokes محتاجة واحد مذاكر متلازمات جلطات جذع المخ كويس ، وهي بتبقي واضحة في الفحص جدا يعني
عايز بس اقول حاجة حاجة ، جلطات جذع المخ مبتبنش في المقطعية واللي يقولك غير كدة يبقي دجال ، لازم رنين
عايز بس اقول حاجة حاجة ، جلطات جذع المخ مبتبنش في المقطعية واللي يقولك غير كدة يبقي دجال ، لازم رنين
@shahesta_ashrey اه مزمن
ملوش اسباب واضحة
ملوش اسباب واضحة
40 - في اسباب نادرة شوية للصداع ، زي الtemporal arteritis ...انا مشفتوش في شغلي غير مرة واحدة..هو بيكون scalp tenderness اكتر منه صداع ، لازم ياخدsteriods فورا
الvenous sinus thrombosis صعبة تشخيصها غير لو معاك هيستوري بيدلك وعملت فحص قاع عين فيهedema ، لازم يعمل رنين عالاوردة
الvenous sinus thrombosis صعبة تشخيصها غير لو معاك هيستوري بيدلك وعملت فحص قاع عين فيهedema ، لازم يعمل رنين عالاوردة
41- الIIH او الpseudo tumor cerebri..دة تقريبا موجود بس في الستات بعد البلوغ بصفة حصرية تقريبا ، صداعه مميز جدا ،اي بنت مش هتقدر اسبوع او 10 ايام بالكتير وهتيجي المستشفي ،بتشتكي وهي مغمضة عينيها ، بتتكلم بصعوبة عشان متقللش الvenous return فضغط الcsfيزيد.فحص قاع عين بجيبها بسهولة
43 - migrane الصداع النصفي ، في criteria عشان نشخصه
unilateral- pulsating - moderate to severe- woresen by acivity ..عايزين 3 من 4 دول
و
nausea&vomiting - photophobia or phonophobia واحدة من دول
وتكون اقل مدة لنوبة الصداع من غير مسكنات مش اقل من4 ساعات
كدة متشخص صداع نصفي
unilateral- pulsating - moderate to severe- woresen by acivity ..عايزين 3 من 4 دول
و
nausea&vomiting - photophobia or phonophobia واحدة من دول
وتكون اقل مدة لنوبة الصداع من غير مسكنات مش اقل من4 ساعات
كدة متشخص صداع نصفي
44- الcluster headache ، او الصداع العنقودي
اوسخهم ع الاطلاق ، الصداع اللي هيخلي اتخن شنب يعيط من شدته ، بيمسك عين واحدة بتحمر جامد وتدمع وساعات رشح مناخير ،وبعدها صدااااااع ساعة ولا اتنين انت هتتمني الموت عشان الوقت يعدي
حله سهل ، اكسجين
المريض بيدخل ميت،ياخد o2 mask يطلع زلفل
اوسخهم ع الاطلاق ، الصداع اللي هيخلي اتخن شنب يعيط من شدته ، بيمسك عين واحدة بتحمر جامد وتدمع وساعات رشح مناخير ،وبعدها صدااااااع ساعة ولا اتنين انت هتتمني الموت عشان الوقت يعدي
حله سهل ، اكسجين
المريض بيدخل ميت،ياخد o2 mask يطلع زلفل
45- الtrigeminal neurlagia او العصب الخامس
دة مش صداع اوي بقدر ماهو وجع ، العصب ال5 المسئول عن الاحساس في الوش ملتهب فبيوجع نص وشك ، وجع ماشي مع تشريح العصب بيزيد مع المضغ والكلام ، ساعات بيكون كهربا او مجرد تنميل
حله دوا صرع اسمهاcarbamezpine بيجيب معاه نتايج محترمة
دة مش صداع اوي بقدر ماهو وجع ، العصب ال5 المسئول عن الاحساس في الوش ملتهب فبيوجع نص وشك ، وجع ماشي مع تشريح العصب بيزيد مع المضغ والكلام ، ساعات بيكون كهربا او مجرد تنميل
حله دوا صرع اسمهاcarbamezpine بيجيب معاه نتايج محترمة
46-رجاء بس يا شباب
صداع الاورام مش طوارئ ،اه والله مش طوارئ
يعني لو جالك حالة صداع وانت شكيت في ورم في المخ واكدت دة بفحص قاع العين يروح عادي ويجي بكرة يعمل الاشعة في الout-patient..ايه اللي هيحصله يعني لما يستني؟!
معامل واشعات الطوارئ وحتي مجهود ووقت الدكاترة لحالات الطوارئ بس
صداع الاورام مش طوارئ ،اه والله مش طوارئ
يعني لو جالك حالة صداع وانت شكيت في ورم في المخ واكدت دة بفحص قاع العين يروح عادي ويجي بكرة يعمل الاشعة في الout-patient..ايه اللي هيحصله يعني لما يستني؟!
معامل واشعات الطوارئ وحتي مجهود ووقت الدكاترة لحالات الطوارئ بس
@shahesta_ashrey تحاولي تتجنبي اي trigger ممكن يدخلك في نوبة ، زي الشيكولاتات او الانوار الزيادة او الستريس ..الخ
48- عيان الHIV (الايدز) هو اكتر عيان مش هتحب انه يجي يشتكيلك بصداع
اي عيان immunocompromised عموما ، لانه مش بس عرضة لاورام خبيثة زي الlymphoma ، دة عرضة لميكروبات انتهازية كتيرة مبتجيش بس غير فيه ، وعرضة لامراض محتاجة مناعة ضعيفة زي السل وCNS tubercloma
اي عيان immunocompromised عموما ، لانه مش بس عرضة لاورام خبيثة زي الlymphoma ، دة عرضة لميكروبات انتهازية كتيرة مبتجيش بس غير فيه ، وعرضة لامراض محتاجة مناعة ضعيفة زي السل وCNS tubercloma
49- وهنا لازم افتكر حالة مميزة جدا
واحد جاب اخوه مركز السموم لانه مش مظبوط ، هو بقالع فترة بيحاول يبطل حقن البودرة ، بس حالته ساءت اوي بقالها 4 ايام
بالفحص السريع ، الراجل عنده عينfixed dilated، وهو معانا جفن عينه سقط
يختاااااااااي ، عياننا دخل في brainstem strokes
واحد جاب اخوه مركز السموم لانه مش مظبوط ، هو بقالع فترة بيحاول يبطل حقن البودرة ، بس حالته ساءت اوي بقالها 4 ايام
بالفحص السريع ، الراجل عنده عينfixed dilated، وهو معانا جفن عينه سقط
يختاااااااااي ، عياننا دخل في brainstem strokes
50- الرنين بيّن جلطات متعددة صغيرة في جذع المخ فعلا
الراجل اشتكي من صداع بس بقاله اربع ايام، مفيش ترجيع ، كان في low grade fever
طب ايه اللي يجبله جلطات كتيرة في جذع المخ!! ماهو معندوش مكان بيبعت emboli.
بعد ما حقنا صبغة اكتشفت ان الجلطات دي مش جلطات، دي عبارة عن abscess صغيرة!!
الراجل اشتكي من صداع بس بقاله اربع ايام، مفيش ترجيع ، كان في low grade fever
طب ايه اللي يجبله جلطات كتيرة في جذع المخ!! ماهو معندوش مكان بيبعت emboli.
بعد ما حقنا صبغة اكتشفت ان الجلطات دي مش جلطات، دي عبارة عن abscess صغيرة!!
51- الراجل كان عنده TB fulminant meningitis وهي اللي خلته يصدع ويعمل تآكل في مخه وعملت خراريج صغيرة
بعدها بيوم ونص مات
بعدها بيوم ونص مات
نسيت اقول حاجة مهمة جدا
ان الsub arachnoid بيعمل low grade fever ،
مع صداع وشوية ترجيع هيلخبطك مع مين؟ meningitis
في اي حد خصوصا لو كبير بيشتكي من صداع وترجيع وسخن حبتين متنطش علي طول انه التهاب سحائي وتعمل بزل ، لازم تعملneuro imaging الاول عشان تضمن انه مشSAH
ان الsub arachnoid بيعمل low grade fever ،
مع صداع وشوية ترجيع هيلخبطك مع مين؟ meningitis
في اي حد خصوصا لو كبير بيشتكي من صداع وترجيع وسخن حبتين متنطش علي طول انه التهاب سحائي وتعمل بزل ، لازم تعملneuro imaging الاول عشان تضمن انه مشSAH
الSAH عبارة عن 3 اتلات
تلت بيموت في بيته من الصداع قبل حتي ما يروح مستشفي
تلت بيروح مستشفي بس الدكتور بيشخصه غلط انه صداع عادي ، بيديه مسكنات ويروحه ، وهو بيموت في بيته بقي
تلت بيروح مستشفي بس الدكتور بيشخصه صح وبيدي علاج او تدخل جراحي كمان...دة التلت اللي ممكن يعيش
تلت بيموت في بيته من الصداع قبل حتي ما يروح مستشفي
تلت بيروح مستشفي بس الدكتور بيشخصه غلط انه صداع عادي ، بيديه مسكنات ويروحه ، وهو بيموت في بيته بقي
تلت بيروح مستشفي بس الدكتور بيشخصه صح وبيدي علاج او تدخل جراحي كمان...دة التلت اللي ممكن يعيش
كنت لسة بتفرج علي فيديو محاضرة عن الnasty headaches ، لاقيت المحاضر بيقول فيما معناه " لالالا ، انا مش هتكلم ع الاسباب العادية ، انا هتكلم كل كلامي علي الbig guy ، الsubarachnoid hge "
الناس كلها بتحترمه وتعمله الف حساب ، بعبع اي استقبال
الناس كلها بتحترمه وتعمله الف حساب ، بعبع اي استقبال
كنت عايز اقول حاجة مهمة جدا عنه
هو لو عندي SAH وخدت مسكنات الوجع هيخف؟
للاسف اه ن وعشان كدة كارثة ، تقريبا 40% من الحالات بتتخشص انها صداع عصبي او نصفي عادي فبيديها مسكن والمريض فعلا بيرتاح فبيروح ..
الtriptans بتعمل نتايج جميلة في علاج الم الSAH بمكيانيزم مش معروف
هو لو عندي SAH وخدت مسكنات الوجع هيخف؟
للاسف اه ن وعشان كدة كارثة ، تقريبا 40% من الحالات بتتخشص انها صداع عصبي او نصفي عادي فبيديها مسكن والمريض فعلا بيرتاح فبيروح ..
الtriptans بتعمل نتايج جميلة في علاج الم الSAH بمكيانيزم مش معروف
صداع الbrain tumors مش emergency اقسم بالله
واحد بيشتكي من صداع بقاله (شهرين) بيكون وحش اول ما يصحي من النوم وساعات بيرجع ، ملوش انك تعمله اي فحوصات في الطوارئ اصلا،اخرك فحص قاع عين تشوف فيpappiledema ولالا
هيطلع ايه يعني،ورم؟! ايه اللي مي هيخليه يستني لتاني يوم الصبحoutpatient
واحد بيشتكي من صداع بقاله (شهرين) بيكون وحش اول ما يصحي من النوم وساعات بيرجع ، ملوش انك تعمله اي فحوصات في الطوارئ اصلا،اخرك فحص قاع عين تشوف فيpappiledema ولالا
هيطلع ايه يعني،ورم؟! ايه اللي مي هيخليه يستني لتاني يوم الصبحoutpatient
السبب اللي يخلي الاورام تعملacute presentation
1 - انها تنزف من جواها (ودة الاشهر) هيقولك ان الصداع من شهور اه بس انهاردة اتغير وابقي اشد ،تغيير نمط الصداع هو highlight العيان دة، بالاضافةlateralizing sign محترمة..
2 - ان الورم يبقي aggressive جدا بحيث يضغط عليvesselويعملstroke
1 - انها تنزف من جواها (ودة الاشهر) هيقولك ان الصداع من شهور اه بس انهاردة اتغير وابقي اشد ،تغيير نمط الصداع هو highlight العيان دة، بالاضافةlateralizing sign محترمة..
2 - ان الورم يبقي aggressive جدا بحيث يضغط عليvesselويعملstroke
الصياعة مش هنا علي فكرة ، لان الموقف هيكون بالعكس
بمعني واحد دلوقتي عندها اعراض stroke ، عملنا مقطعية لاقينا نزيف...هنعرف منين بقي اذا كان النزيف دة سببه primary ولا كان ورم ونزف من جواه؟! ونتأكد منها يقينا ازاي؟
بمعني واحد دلوقتي عندها اعراض stroke ، عملنا مقطعية لاقينا نزيف...هنعرف منين بقي اذا كان النزيف دة سببه primary ولا كان ورم ونزف من جواه؟! ونتأكد منها يقينا ازاي؟
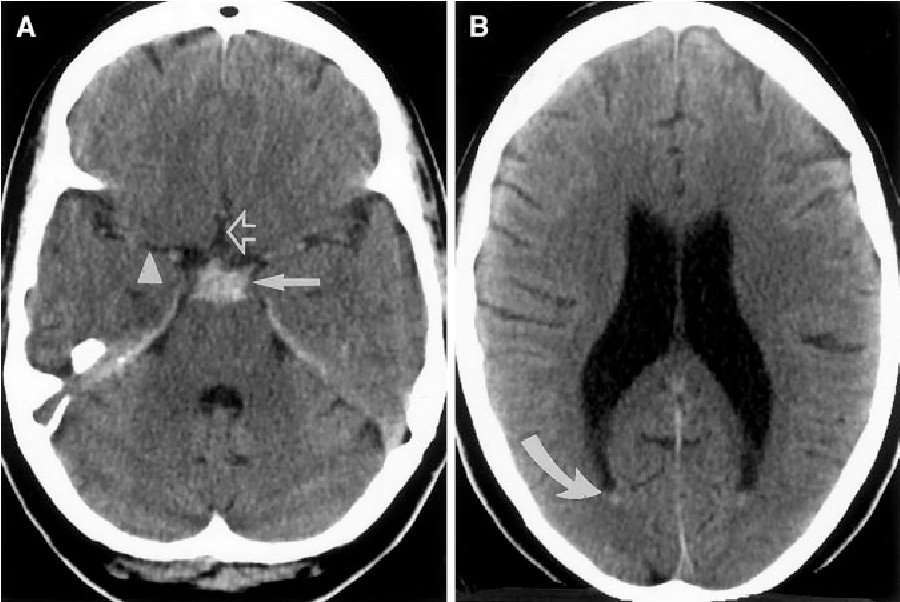
طيب، الراجل دة عنده نزيف في مخه للاسف ولو اتساب يومين تلاتة هيبتدي وعيه يتدهور ويدخل في غيبوبة
ونزيف ازاي والاشعة free؟؟
لا الاشعة فيها نزيف..bilateral subacute subdural hge
ودي واحدة من الحاجات اللي سهل جدا تmiss خصوصا لو مستني تلاقي شكل النزيف الابيض الكلاسيكي
ونزيف ازاي والاشعة free؟؟
لا الاشعة فيها نزيف..bilateral subacute subdural hge
ودي واحدة من الحاجات اللي سهل جدا تmiss خصوصا لو مستني تلاقي شكل النزيف الابيض الكلاسيكي
الsubdural hge بيمر ب3 مراحل (acute-subacute-chronic) كل واحدة بتاخد اسبوع تقريبا ، الدم علي حسب تحلله جوا الجمجمة بيكونله كثافة مختلفة بالتالي اشكاله بتختلف
الsubacute بيكون isodense في فيلم الاشعة ، يعني لونه قريب جدا من لون نسيج المخ الطبيعي فمش هتعرف تفرق بينهم
الsubacute بيكون isodense في فيلم الاشعة ، يعني لونه قريب جدا من لون نسيج المخ الطبيعي فمش هتعرف تفرق بينهم
الموضوع دة لو حصل unilateral يبقي اتحلت، لانك كدة كدة هتشوف الmidline shift..
لكن لو bilateral ، ساعتها مش هتشوف اي حاجة....ساعات بيبقي حظك حلو وتشوف خط فاصل بين النزيف وبين المخ(مع انهم نفس اللون) لكن الاكيد هتشوفه ان الgreywhite interface بقي limited اوي medially
لكن لو bilateral ، ساعتها مش هتشوف اي حاجة....ساعات بيبقي حظك حلو وتشوف خط فاصل بين النزيف وبين المخ(مع انهم نفس اللون) لكن الاكيد هتشوفه ان الgreywhite interface بقي limited اوي medially
بس قصة انها limited ولا لا ، دي حاجة subjective جدا ومحتاجة واحد متمرس..فصعب نعول عليها..
الفيصل فيها هو الرنين ، ساعتها هيبين الفرق بين نسيج المخ الطبيعي وبين النزيف،طبعا حلها تدخل جراحي
الخلاصة: ان الsubacute subdural لونه رمادي زي المخ بالظبط
الفيصل فيها هو الرنين ، ساعتها هيبين الفرق بين نسيج المخ الطبيعي وبين النزيف،طبعا حلها تدخل جراحي
الخلاصة: ان الsubacute subdural لونه رمادي زي المخ بالظبط
في صداع مميز بردة رغم انه نادر شوتين ، هو صداع الvertbral artery dissection
واحد بياخد ضربة علي رقبته (ممكن تبقي خبطة كورة مثلا) او اي trauma عبيطة وبعدها هيحس بوجع جامد في رقبته و صدااااااع
انا شخصيا ولا مرة شفته
واحد بياخد ضربة علي رقبته (ممكن تبقي خبطة كورة مثلا) او اي trauma عبيطة وبعدها هيحس بوجع جامد في رقبته و صدااااااع
انا شخصيا ولا مرة شفته
طب ودة صعب نجيبه دة يا معلم ، دة محتاج دوبلر بقي وحركات
اه ، بس لو فهمت هو ازاي بيعمل صداع هتعرف انك ممكن تجيبه بطرق اسهل ، هو بيصدعك عشان ببساطة بيعمل brain ischemia ، فلو كنت عملت رنين كنت هتلاقي stroke منورة كدة كدة
اه ، بس لو فهمت هو ازاي بيعمل صداع هتعرف انك ممكن تجيبه بطرق اسهل ، هو بيصدعك عشان ببساطة بيعمل brain ischemia ، فلو كنت عملت رنين كنت هتلاقي stroke منورة كدة كدة
معلومة جديدة اتعلمتها
ان من الاوصاف الشائعة اللي بيستخدمها عيانين الmeningitis ليوصوفوا بيها صداعهم هي جملة (رقبتي وجعاني) وبيقولك رقبتي وجعاني ودماغي وجعاني...دة بدايات meningial irritation اللي بتخليه يعمل تقلصات في عضلات رقبته فبتوجعه
زي ما قلتلكم الneck rigidty حاجةlate
ان من الاوصاف الشائعة اللي بيستخدمها عيانين الmeningitis ليوصوفوا بيها صداعهم هي جملة (رقبتي وجعاني) وبيقولك رقبتي وجعاني ودماغي وجعاني...دة بدايات meningial irritation اللي بتخليه يعمل تقلصات في عضلات رقبته فبتوجعه
زي ما قلتلكم الneck rigidty حاجةlate
@ahmedmagdy612 من خلال تدريبي في طوارئ المخ والاعصاب في القصر العيني ، بالإضافة لشوية كتب طوارئ كنت بقرا فيها
@ahmedmagdy612 اشكرك😃
جاري تحميل الاقتراحات...